2021-09-23 17:00
作者 许建平、王夏珍等

京港感染论坛
十年京港,逐梦感染病精准诊疗
引 言
老年男性,先后出现双侧不明原因血性胸腔积液,反复胸腔穿刺、活检及PET-CT未能明确诊断,尝试各种抗生素、激素治疗无效,继而咯血,肺内出现“溶解样”改变,胸腔积液变为黑色,诊断上如何突破?治疗上有那些经验?希望通过以下病例带给读者一点启示。
病情介绍
患者男,71岁,因“间断胸闷、气短7月余,咳嗽、咳痰、咯血20余天”于2021年3月16日入中日友好医院呼吸与危重症医学科二部。患者7月余前(2020年8月)无明显诱因出现胸闷、气短,偶有咳嗽,咳少量白痰,无发热、胸痛、咯血,外院查血常规:WBC7.98×10⁹/L,N3.81×10⁹/L,LYM3.25×10⁹/L,EOS0.26×10⁹/L,PLT447×10⁹/L;血沉39mm/L;CRP12.1mg/L;PCT0.12ng/mL;胸腔超声及胸片提示“大量胸腔积液”,行胸腔置管,引流出黑红色胸腔积液,胸水常规:外观红色,比重1.028,细胞总数460306/mm³,有核细胞数1700/mm³,中性粒细胞42.3%,淋巴细胞57.7%,胸水生化:总蛋白定量31.5g/L,糖3.54mmol/L,ADA21U/L,LDH827IU/L;多次细胞学未找见瘤细胞;胸膜活检病理:间质纤维组织增生,局灶粉染纤维素样变性,伴淋巴细胞、浆细胞及嗜酸性粒细胞浸润。PET-CT(2020-8-20):右侧胸膜增厚,局灶代谢较高;纵隔内及肺门多发结节,部分可见放射浓聚,右肺中下叶斑片状高密度影。于胸膜增厚处再次活检,病理:间质急慢性炎细胞浸润,伴化脓、坏死,局灶泡沫样组织聚集。复查胸部CT(2020-9-4)示右肺中下叶斑片状高密度影,右侧胸腔积液(图1)。给予头孢噻肟2g tid、舒巴坦钠1g bid、左氧氟沙星0.4gqd抗感染14天。患者住院期间间断发热,体温最高38℃,无畏寒、寒战、盗汗,胸水引流后呼吸困难好转。当地予利福平、异烟肼、乙胺丁醇、吡嗪酰胺、左氧氟沙星试验性抗结核治疗11天,复查肝功能,ALT108U/L、AST116U/L,停用抗结核药物并保肝治疗。6月前(2020-9-22)再次就诊于某结核专科医院,血常规:ESO1.89×10⁹/L,EOS(%) 22.5%,HGB100g/L,PLT508×10⁹/L,D-dimer:4.35ug/ml,ANA、ANCA、风湿三项、免疫球蛋白+补体C3、C4、抗双链DNA抗体均阴性,胸部CT示右肺中下叶斑片状高密度影吸收,右侧胸腔积液较前减少(图2),予莫西沙星400mgqd抗感染治疗8天,再次胸腔置管引流出深咖啡色胸水,胸水常规:外观咖啡色,比重1.018,PH7.0,细胞总数100/mm³;胸水生化:总蛋白10.6g/L,LDH180IU/L,ADA12.1U/L。PPD试验(++),血T-SPOT(+),血沉82mm/h。第三次胸膜活检切片会诊示横纹肌、脂肪、增生纤维结缔组织、炎性肉芽组织增生,伴炎性细胞浸润,部区域可见多量嗜酸性粒细胞聚集,嗜酸性肉芽肿待除外。给予甲泼尼龙片32mgqd po(每半月减1片),拔除胸腔引流管出院。共口服激素1个半月,患者胸闷、气短有所缓解,咳嗽、咳痰无变化。
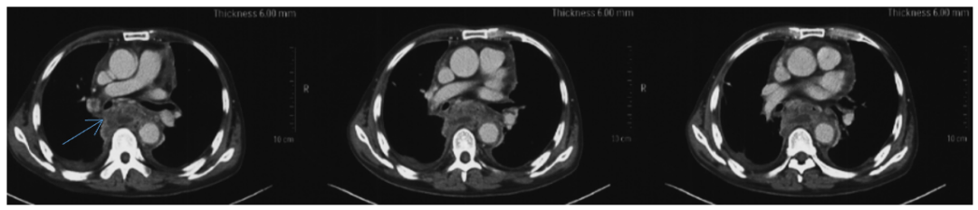
患者入院前4月(2020年11月)曾有短暂腹痛,腹盆CT(2020-11-10)示腹盆腔积液,肝门区及腹腔囊状低密度影(图3)。血淀粉酶升高,停用甲泼尼龙片,禁食、抑酶等治疗后好转。2月余(2021年1月)前患者胸闷、气短加重,就诊于外院查胸腔超声(2021-01-05)示双侧胸腔积液(左侧为著),再次加用甲泼尼龙16mgqd po×8天,2021-1-14更换为曲安西龙16mgqdpo×12天,气短症状进行性加重,胸部CT(2021-1-18)示右肺条索影,右侧少量胸腔积液,左侧大量胸腔积液(图4),予胸腔穿刺引流,为黑红色胸水,共引流3000ml,带管出院。出院后引流约900ml胸水,活动后仍有气短,1月余前(2021年1月27日)再次就诊于某结核病专科医院,停用激素,查胸部CT(2021-1-27)示右侧胸膜增厚,左侧叶间胸腔积液、纵隔囊肿(图5),继续引流胸水,胸水细胞学分类:嗜酸细胞0% 间皮细胞30% 上皮细胞0% 中性粒细胞5% 淋巴细胞65%。患者间断咳嗽加重,咳白痰,复查胸部CT(2021-2-7)示纵隔混杂密度影较2021-1-27增多(图6),予拉氧头孢1gq12h抗感染,经胸水引流后,气短好转,出院后继续口服曲安西龙16mgqd po。
20余天前(2021年2月20)出现咳嗽、咳痰、咯血,为血痰,呈鲜红色,每日约50ml,再次就诊于当地,复查胸部CT示左肺下叶实变,部分结构破坏,可见囊腔及液平;食管下段管壁增厚;上段食管后方囊性占位;双侧胸腔积液(图7),停用激素,血常规示WBC15.34×109/L,EOS0.09×109/L,Hb74g/L,PLT784×109/L;PCT0.15ng/ml;CRP53.8ml/L 。给予美罗培南1gq8h抗感染、止血、补铁、补充白蛋白等治疗,效果不佳。CTPA示各级肺动脉未见血栓形成。经验性抗感染及对症支持治疗,2021-2-26加用甲泼尼龙60mg qd po(40mg早,20mg晚)×7天,减量至20mgbidpo至今。腹部增强CT(2021-3-4)示食管下段食管瘘并后纵隔、腹腔内腹膜后感染,腹腔内及腹膜后包裹性积液(图8)。胃镜(2021-3-6)示反流性食管炎,非萎缩性胃炎。支气管镜检查(2021-3-11)示镜下未见明显异常。BALFNGS(2021-3-12):变异白蚁菌(6reads)、屎肠球菌(3reads)、烟曲霉(19reads)。复查胸部CT示左肺下叶磨玻璃影较前有所吸收,可见片状实变及肺结构破坏(图9)。为求进一步诊治来我院。患者发病以来体重下降10kg。
既往高血压病史,左下肢股骨头坏死(外伤),左髂总静脉血栓,曾行“取栓术”,于左髂总静脉植入支架1枚,吸烟指数800支年,饮白酒40余年,250g/d,戒酒7月。
入院查体:T 36.5℃,P 96次/分,R 20次/分,BP 126/97mmHg,SpO2(未吸氧)97%,神清,精神可,查体配合;左肺呼吸音偏低,左肺可闻及湿罗音,右肺未闻及干湿啰音;心率96次/分,律齐;腹软,无压痛、反跳痛及肌紧张;双下肢无水肿。
辅助检查:


图1:2020-9-4胸部CT:右肺中下叶斑片状高密度影,右侧胸膜增厚、胸腔积液。

图2:2020-9-29胸部CT:右肺中下叶斑片状高密度影吸收,右侧胸腔积液较前减少。

图3:2020-11-10腹盆CT:腹盆腔积液(蓝色椭圆),肝门区及腹腔囊状低密度影(红色圆)。


图4:2021-1-18胸部CT:右肺条索影,右侧少量胸腔积液,左侧大量胸腔积液。


图5:2021-1-27胸部CT:右侧胸膜增厚,左侧叶间胸腔积液(红色椭圆)、食管壁增厚,上段食管后方囊性占位(蓝色箭头)。


图6:2021-2-7胸部CT:后纵隔混杂密度影明显增多(蓝色箭头所指),右侧胸腔积液较前增多。

图7:2021-2-20胸部CT:左肺下叶实变,部分结构破坏,可见囊腔及液平(蓝色箭头所指);食管下段管壁增厚。

图8:2021-3-4腹部增强CT:后纵隔、腹腔内腹膜后感染,腹腔内及腹膜后包裹性积液(蓝色椭圆)。


图9:2021-3-14胸部CT:左肺下叶磨玻璃影较前有所吸收,可见片状实变及肺结构破坏。
入院诊断:1.左肺阴影性质待查;2.双侧胸腔积液性质待查;3.纵隔囊肿性质待查;4.腹腔积液性质待查;5.高血压2级,很高危;6.反流性食管炎;7.慢性非萎缩性胃炎;8.左侧股骨头坏死;9.左髂总静脉支架植入术后。
入院后2021-3-17查血常规:WBC23×10⁹/L,NEUT20.98×10⁹/L,LYMPH2.4×10⁹/L,HGB98g/L↓,PLT443×10⁹/L;PCT2.05ng/ml,CRP>200mg/L,血沉:51mm/h细胞因子十二项:IL-6152.72pg/ml;胰功(血):脂肪酶794U/L,血淀粉酶425IU/L;
治疗:第一阶段(03-16至03-19):(1)抗感染治疗:入院白细胞、PCT、CRP明显升高,结合外院病原学,伏立康唑(200mgq12h),万古霉素(1gq12h),哌拉西林他唑巴坦(4.5gq8h);(2)激素减量:甲泼尼龙片20mg日一次(逐渐减量);(3)支持治疗:抑酸,补钙。
2021年3月18日支气管镜检查(2021-3-18):镜下未见明显异常(图11),支气管肺泡灌洗检查,胰功(BALF):脂肪酶11585U/L,淀粉酶1853IU/L;BALF病原:细菌、真菌、抗酸、弱抗酸涂片,Gene-Xpert,十二项呼吸道病原体核酸检测,细菌、真菌培养均为阴性,BALF人巨细胞病毒核酸检测、EB病毒核酸检测均为阳性。BALFNGS:人单纯疱疹病毒1型10532reads,人疱疹病毒7型25reads,屎肠球菌11reads,曲霉菌4reads。曲霉菌IgG抗体检测:134.16AU/mL(参考值<125=。

图10:支气管镜检查镜下表现
2021-03-18左侧胸腔穿刺置管引流,胸水为黑红色(图11)。

图11:胸腔引流液。
胸水常规:外观黑红色,黎式试验(+),比重1.022,细胞总数满视野,有核细胞数满视野,单核6%;多核94%。胸水生化:总蛋白定量27.7g/L,糖4.56mmol/L,氯101mmol/L,ADA62U/L,LDH4484IU/L。胰功(胸水):脂肪酶8646U/L,淀粉酶48775IU/L。胸水病原学:细菌、真菌、抗酸、弱抗酸涂片阴性,细菌、真菌培养、Gene-Xpert(-)阴性,血T-Spot阴性。
治疗调整:第二阶段(03-19至03-30):(1)抗感染治疗:无G+球菌及真菌感染证据,不除外吸入性因素,停万古霉素、伏立康唑,继续哌拉西林他唑巴坦钠(4.5gq8h);(2)禁食,肠外营养;(3)生长抑素泵入;(4)PPI抑酸;(5)激素减停。
2021年3月23日胸腹部增强CT示胰腺假性囊肿-纵隔-左侧胸腔瘘;食管周围明显肿胀;左中下肺斑片状密度伴实变,可能合并化学性肺损伤;双肺气肿,双肺结节,双侧胸膜增厚,双侧少量胸腔积液;左侧后腹膜包裹性积液,不除外假性囊肿(图12)。

图12:2021-3-23胸腹部增强CT。
2021年3月24日MRCP示胰体前方异常信号(绿色椭圆),胰尾周围、脾脏周围及左侧腹膜后包裹性积液可能(蓝色椭圆);胆囊腺肌症不除外;双肾周围渗出;左侧胸腔积液;左肺异常信号(图13)。

图13:2021-3-24 MRCP可见胰腺假性囊肿窦道通向胸腔(红色箭头)。
2021年3月26腹膜后包裹性积液穿刺引流,外观黑色糊状液体(图14)。

图14:B超引导下腹膜后包裹性积液穿刺引流液。
胰功(腹水):脂肪酶316U/L,淀粉酶598IU/L。细菌、真菌、弱抗酸、抗酸涂片阴性,无菌体液培养(需氧+厌氧)阴性。
治疗:第三阶段(03-31至04-07):(1)ERCP、主胰腺管支架植入术+空肠管留置术;(2)抗感染治疗:哌拉西林他唑巴坦4.5gq8h;(3)肠内营养:伊力佳1000mlqd;(4)PPI抑酸。
为治疗胰腺假性囊肿,于2021年3月31日全身麻醉下行内镜逆行胰胆管造影(ERCP,图15),术中可见造影剂经囊腔流至左侧胸腔,导丝引导下扩张管扩张,后留置胰管支架进入囊腔,造影剂及胰汁引流通畅。留置经鼻空肠营养管。

图15:ERCP,蓝色箭头为囊腔,红色箭头为造影剂流至胸腔的路径
经禁食、肠外营养、生长抑素泵入、PPI抑酸、抗感染、积液引流等治疗,胸腔积液、腹腔积液明显减少,复查血淀粉酶将至正常、脂肪酶明显降低(表1),白细胞、PCT、CRP降至基本正常(表2,表3)。
表1:淀粉酶、脂肪酶的变化

表2:血常规的变化

表3:炎症指标的变化

术后患者无发热、腹痛、呕血、便血等并发症,胸腔及腹腔引流液消失,给予拔除引流管,逐渐过度至鼻饲空肠内营养,2021年4月6日复查胸部CT(图16),停用抗生素。

图16:2021-4-6胸部CT较2021-3-23对比左肺斑片状密度及实变有所吸收。
患者好转出院。患者出院后3月内未再出现呼吸困难、咳嗽、咳痰,体重增加5kg,2021年6月20日复查胸部CT示左肺斑片状密度及实变较2021-4-6片明显吸收好转(图17),于门诊拔除空肠营养管,恢复经口进食,计划择期复查ERCP。

图17:2021-6-20胸部CT。
出院诊断:
1.慢性酒精性胰腺炎
胰腺假性囊肿-纵隔-胸腔瘘
胰源性胸腔积液
化学性肺损伤
胰源性腹腔积液
2.高血压2级,很高危
3.贫血
4.低蛋白血症
5.反流性食管炎
6.慢性非萎缩性胃炎
7.左侧股骨头坏死
8.左髂总静脉支架植入术后
胰胸膜瘘(Pancreaticopleural Fistula,PPF)较少见,早期诊断困难甚至误诊[2]。慢性胰腺炎出现胰瘘者仅3%~7%,包括胰源性胸腔积液和腹腔积液[1]。胰胸膜瘘是胰腺假性囊肿或胰管破裂导致胰液外溢,与腹膜后相通,通过淋巴管、主动脉或食管裂孔进入纵隔,形成胸腔与胰腺或假性囊肿相通的瘘管。胰腺内瘘是指胰管与腹腔、胸膜腔或其他空腔脏器相通,它的形成是慢性胰腺炎的少见并发症,最常归因于酒精性胰腺炎[3,4],少数情况下,可引起胸腔积液,主要特点是反复发作的大量胸腔积液,主要诊断依据是胸腔积液中淀粉酶明显升高[5,6]。胰胸膜瘘合并肺损伤极为罕见,文献检索发现有慢性胰腺炎并发PPF、酶促胸腔积液、肺脓肿的个案报道[7]。本例患者因反复出现大量胸腔积液合并肺损伤收入我科,该患者既往有40余年大量饮酒史,但平素无典型腹痛、腹胀等胰腺病变的症状,慢性胰腺炎较隐匿。入院后血清淀粉酶增高,予以支气管肺泡灌洗、胸腔穿刺,BALF、胸水淀粉酶及脂肪酶明显升高,BALF病原学检查未发现致病菌,支持胰源性化学性肺损伤、胰源性胸腔积液诊断。患者胸腔积液呈黑色,院外亦反复出现黑色或咖啡色胸腔积液,有报道称大量的黑色胸腔积液可能是胰腺假性囊肿的罕见并发症[8]。故当患者存在长期饮酒,反复发作的大量胸腔积液,尤其是黑色胸腔积液,应高度怀疑胰腺假性囊肿胸膜瘘,早期完善胸腔积液淀粉酶及脂肪酶等检查十分必要。研究示胸腹CT发现胰腺纵隔瘘的敏感性约50%,MRCP灵敏度高达80%,是识别胰腺胸膜瘘的最佳非侵入性检查[10]。本例患者通过胸腹部增强CT、MRCP进一步从解剖上明确了胰腺胸膜瘘。病例报道发现,早期ERCP是治疗PPF的一种有效且相对安全的治疗选择,可以避免手术[9]。因胰管支架存在堵塞或脱落风险,需尽可能延长空肠营养管鼻饲喂养时间。该病例仍需要进一步随访观察长期预后。
在诊治不明原因胸腔积液时,应注意查胸腔积液淀粉酶、脂肪酶,应仔细采集病史,注意有大量饮酒史及伴腹痛、腹胀等消化道症状,以早期诊断胰腺假性囊肿胸腔瘘。
参考文献(上下滑动)
[1] Chebli JMF, Gaburri PD, de Souza AFM, et al. Internal pancreatic fistulas: proposal
of a management algorithm based on a case series analysis. J ClinGastroenterol
2004;38:795–800.DOI:10.1097/01.mcg.0000139051.74801.43.
[2] Uchiyama T, Suzuki T, Adachi A, et al. Pancreatic pleural effusion: case report and review of 113 cases in Japan. Am J Gastroenterol. 1992 Mar;87(3):387-391.
[3]Bustamante Bernal MA, Gonzalez Martinez JL, Ortiz A, etal. Recurrent Pleural Effusion Secondary to a Pancreatic-Pleural Fistula Treated Endoscopically. Am J Case Rep. 2017 Jul 5;18:750-753.DOI: 10.12659/ajcr.903925.
[4] Chebli JM, Gaburri PD, de Souza AF, et al. Internal pancreatic fistulas: proposal of a management algorithm based on a case series analysis. J ClinGastroenterol. 2004 Oct;38(9):795-800.DOI: 10.1097/01.mcg.0000139051.74801.43.
[5] Dhebri AR, Ferran N. Nonsurgical management of pancreaticopleural fistula. JOP. 2005 Mar 10;6(2):152-161.
[6] Machado NO. Pancreaticopleural fistula: revisited. DiagnTherEndosc. 2012;2012:815476.DOI: 10.1155/2012/815476. Epub 2012 Jan 31.
[7] Nikolay Y. Kokhanenko,Alexey A. Kashintsev,Andrey A. Bobylkov,etal.Staged Interventional and Surgical Treatment of Patient with Chronic Pancreatitis Complicated by Pancreaticopleural Fistula with Lung Abscesses.Am J Case Rep, 2020; 21: e922195.DOI: 10.12659/AJCR.922195.
[8] Guo F, Wu J, Peng Y, et al. Black pleural effusion due to pancreatic pseudocyst: A case report. Medicine (Baltimore). 2017 Dec;96(50):e9043.DOI: 10.1097/MD.0000000000009043.
[9] KordValeshabad A, Acostamadiedo J, Xiao L,et al.Pancreaticopleural Fistula: A Review of Imaging Diagnosis and Early Endoscopic Intervention. Case Rep Gastrointest Med. 2018 Aug 19;2018:7589451.DOI: 10.1155/2018/7589451.
[10] MaterneR,VranckxP,PaulsC,etal.Pancreaticopleural fistula: diagnosis with magnetic resonance pancreatography. Chest. 2000 Mar;117(3):912-4.DOI: 10.1378/chest.117.3.912.
作者简介

许建平
硕士,专业为呼吸内科,主治医师,于感染性疾病科工作8年,参与省科技厅立项一项,发表核心期刊论文一篇。

王夏珍
医学硕士,2014年毕业于哈尔滨医科大学,2014年于长治市人民医院参加工作于今。2020年参加呼吸与危重症医学专科医师规范化培训,中日友好医院PCCM 第1年学员。

崔晓敬
医学博士,中日友好医院呼吸中心呼吸与危重症医学科主治医师,2018年通过呼吸与危重症专科医师考核 。北京防痨协会临床分会委员,中国防痨协会中西医结合分会委员,全国结核综合质控专家委员会委员。
END
作者|许建平、王夏珍、崔晓敬
审校|王一民



