2022-01-12 12:00
作者 张慧、崔晓敬

京港感染论坛
十年京港,逐梦感染病精准诊疗
引 言
中年女性,反复因咳嗽咳痰入院,反复应用抗生素治疗,症状时好时坏,痰液中见白色丝状物,到底是真有感染,还是另有原因?
病情简介
患者53岁,女性,主因“间断咳嗽5年,加重伴颈部疼痛半年”于2021年10月15日收入中日医院呼吸与危重症医学科。
5年前患者感冒后出现咳嗽、咳痰,为少量粘痰,无发热、胸闷、憋气等不适,接触冷空气后加重,未予诊治,1周后症状缓解。
2年前患者再次出现感冒后咳嗽,为干咳,闻及刺激性气味后咳嗽加重,20余天后行胸部CT提示“肺炎”,予“消炎、止咳、平喘”治疗10余天后症状缓解。
8月前无明显诱因出现咳嗽、咳痰,为白色泡沫痰,痰中可见白色丝状物,咳嗽严重时有胸闷、气短。半年前咳嗽症状加重,就诊于当地医院,FeNO 120ppb,曲霉IgG阳性(101.37AU/ml),胸部CT提示“痰栓可能”。气管镜检查见声门开口下气管上段膜部可见两处黄色污苔突向管腔 。当地医院考虑“ABPA”,予伊曲康唑胶囊0.1g bid、布地奈德福莫特罗160/4.5ug 1吸 bid、孟鲁司特10mg qn治疗,1月后咳嗽、气短症状好转。
4月前患者劳累后出现颈部胀痛,皮肤无红肿,伴发热,Tmax 38℃,周身关节疼痛,无畏寒、寒战等不适,间断咳嗽,痰色、性状同前,就诊于社区医院,抗感染治疗5天后(具体治疗不详)体温降至正常,颈部疼痛缓解;10余天后再次出现颈部疼痛及腰部疼痛,未诊治。2个月前曾于我院住院治疗,血G试验、GM试验、隐球菌抗原、总IgE、食物及吸入过敏原检测、抗核抗体谱+血管炎抗体谱+类风湿关节炎抗体谱未见明显异常;肺功能示:FVC 2.6L(93.6%),FEV1 2.28L(97%),FEV1/FVC 87.94%,肺通气功能正常;气道激发试验阴性;FeNO 47ppb。颈胸部CT见气管食管间沟淋巴结肿大。气管镜检查:气管膜部(声门下4.5cm,隆突上6cm)可见2处黄白色胶状污苔附着突向管腔,气管膜部淋巴结瘘?于气管膜部病变处冷冻探头冻取污苔及行TBB,超声支气管镜下探及1组淋巴结肿大;TBB+冻取组织培养示:副溶血链球菌。BALF细菌涂片、真菌涂片、抗酸染色、弱抗酸染色、厌氧菌培养、CMV核酸、EBV核酸、MTB/RIF Xpert均阴性。TBB病理回报:急性炎性渗出物(以中性粒细胞及嗜酸性粒细胞为著,细胞退变),支气管黏膜急慢性炎,未见肿瘤或肉芽肿性病变。(1组TBNA)粘膜急性炎性渗出(以中性类细胞、嗜酸性类细胞为主,细胞退变),少许破碎的支气管粘膜,伴鳞化,小块淋巴组织,未见明确的肿瘤或上皮样肉芽肿。颈胸部CT见气管食管间沟淋巴结肿大,气管镜下考虑淋巴结瘘,组织病原(副溶血链球菌)符合口腔病原体向颈深部蔓延表现,考虑淋巴结炎,予头孢呋辛酯片0.5g bid治疗。患者出院后口服头孢呋辛酯,颈部疼痛未见缓解,自行加用头孢地尼1月后颈部疼痛缓解。现为明确“淋巴支气管瘘”收入我科。自发病以来,睡眠饮食可,二便正常,体重无明显变化。
既往史:过敏性鼻炎20年;慢性非萎缩性胃炎2年;子宫肌瘤2年;发现甲状腺结节2个月。幼年时无百日咳、麻疹等相关病史;否认高血压病、糖尿病、冠心病、脑血管疾病史,否认肝炎、结核、疟疾等传染病史,预防接种史不详。否认手术、外伤、输血史,无食物过敏史,自诉对“阿莫西林/克拉维酸钾”过敏,表现为用药后剧烈头痛。
个人史:无吸烟、饮酒史。14,3-7/25-30,53岁,月经周期规律,育有2女,配偶及女儿体健。父母已逝(具体原因不详)。
入院查体
体温36.3℃,脉搏75次/分,呼吸20次/分,血压144/77mmHg。
肺部:胸廓无畸形,双肺呼吸音清,双肺未闻及干湿啰音,无胸膜摩擦音。
心脏:心前区无隆起,心尖搏动位置正常,心界无扩大,心率75次/分,心音有力,律齐,各瓣膜听诊区未闻及杂音,无心包摩擦音。
辅助检查
入院血气(未吸氧):pH 7.43,PaCO2 48mmHg,PaO2 80mmHg,Lac 0.6mmol/L,HCO3- 31.9mmol/L,BE 6.5mmol/L。
血常规:白细胞5.8*10^9/L,中性粒细胞2.27*10^9/L,红细胞 3.78*10^12/L,血红蛋白112g/L,血小板242*10^9/L;生化:总胆固醇6.6mmol/L↑,低密度脂蛋白胆固醇4.27mmol/L↑,肌酐(酶法) 51umol/L,肝酶、电解质、甲功未见异常。
炎症指标:C-反应蛋白、降钙素原、血沉均未见异常。
外周血结核IGRA阴性。
病原学:痰细菌涂片见G+球菌成链中等量,G-杆菌大量,G+杆菌少量;真菌涂片可见真菌孢子及假丝;真菌培养可见少量白色念珠菌;细菌培养未见异常;抗酸、弱抗酸染色、X-pert均未见异常。
肺功能:FVC 96.3%,FEV1 92.6%,FEV1/FVC 97.1%,DLco 89.9%,肺通气功能及弥散正常。




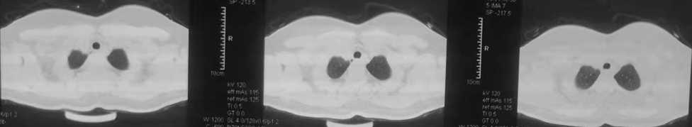
图1 颈胸部CT(2021-10-18):“1组淋巴结”增大(箭头所指)
追问病史:间断咳嗽6年余,曾诊断为“支气管哮喘”,反复多次出现肺部感染,经抗感染治疗后可有效缓解。查看其既往的胸部影像学结果,整理如下:
2015年因夜间突发憋气,查CT(图2):可见气管右后方囊泡状改变,与气管相通。患者未予诊治。





图2 胸部CT(2015年):气管后方可见囊样结构(箭头所指)
2016-7常规复查(图3):气管右后方见一高密度影及囊腔样改变。


图3 胸部CT(2016年7月):气管右后方见一高密度影及囊腔样改变
2019年感冒后咳嗽,查CT(图4)提示双肺斑片渗出影及索条影,左肺为著,气管右后方高密度实变影密度减低,囊腔较前明显增大。经抗感染、止咳、激素治疗后,肺部渗出影吸收。





图4 胸部CT(2019年):气管右后方囊腔较前增大,左肺渗出及索条影
2020年11月复查CT(图5):




图5 胸部CT(2020年11月):气管右后方高密度结节影
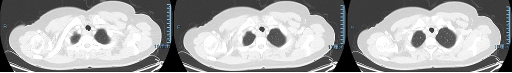
2021年4月感冒后咳嗽就诊当地医院,查胸部CT(图6):气管右后方见实性高密度结节影,突出气管腔内,左肺上叶胸膜下斑片状渗出影。






图6 胸部CT(2021年4月)气管右后方高密度结节,左上肺胸膜下少许渗出
于当地医院行气管镜检查(图7):

图7 气管镜(2021年4月)
气管镜下表现:声门开口下气管上段膜部可见两处黄色污苔附着突向管腔,与膜部结合牢固,给予钳取送检病理。气管膜部不光滑,有污苔处膜部随呼吸运动及痉挛仍有污苔冒出,疑似憩室存在。
气管膜部污苔活检病理示纤维素坏死及化脓性炎,见少量肺泡及呼吸道上皮,上皮未见明显异型。
2021年8月就诊我院,查颈胸部增强CT(图8):



图8 胸部CT(2021年8月)
气管镜下见(图9):

图9 气管镜(2021年8月)
气管镜下表现:气管膜部(声门下4.5cm,隆突上6cm)可见2处黄白色胶状污苔附着突向管腔,于病变处冻取污苔及粘膜TBB送检病理,超声支气管镜探及1组淋巴结肿大,回声欠均,内有点状高密度影,界清,最大直径2cm,穿刺送检病理。
病理结果如下:
TBB:急性炎性渗出物(以中性粒细胞及嗜酸性粒细胞为主,细胞退变),未见明确肿瘤或上皮样肉芽肿。免疫组化结果:CK(AE1/AE3)(+),TTF-1(+)。特殊染色结果:Masson(+),PAS(-),银染(-),抗酸(-),弹力染色(+)。
TBNA:粘液、急性炎性渗出物(以中性粒细胞及嗜酸性粒细胞为主,细胞退变),少许破碎的支气管粘膜,伴鳞化,小块淋巴组织;未见明确肿瘤或上皮样肉芽肿。免疫组化结果:CK(AE1/AE3)(+)。特殊染色结果:PAS(-),银染(-),AB-PAS(+),D-PAS(+)。
综合病史及既往辅助检查资料分析如下,患者中年女性,反复咳嗽伴或不伴肺部感染6年余,曾诊断为“支气管哮喘”,经抗感染治疗有效,回顾既往影像学资料,6年前胸部CT可见气管憩室,随后复查CT可见憩室增大内有填充物,与气管相通,气管内可见隆起。气管镜下可见声门下4.5cm,隆突上6cm气管膜部黄白色污苔突起,TBB及TBNA取材满意,病理提示粘液及急性炎细胞,仅见少量淋巴组织。综合其既往病史及影像学检查,考虑气管憩室伴感染,再次完善气管镜检查(图10)。
气管镜检查

图10 气管镜检查(2021年10月):气管右后壁(声门下约4.5-7cm)局限性稍隆起,表面可见2处黄白色胶状污苔附着突向管腔、似有脓液溢出,余气管粘膜光滑,软骨环存在,隆突锐利。左右主支气管及双侧各叶段支气管粘膜光滑,可见少许白色稀薄分泌物,予以吸除,管腔通畅,未见肿物及新生物阻塞。超声内镜下探及气管右后壁壁外低回声影,回声欠均、边界欠清,最大直径约1.5cm,行EBUS-TBNA,穿刺1针,送检病理,冲洗液送检病原学检查。
冲洗液病原学结果:细菌、真菌涂片、培养,抗酸、弱抗酸染色,分枝杆菌培养等均未见异常。
组织病理结果:穿刺组织1条,长0.3cm,直径0.1cm,灰白,质中,全。炎性渗出物中可见挤压的细胞团。
诊断:再次予患者行气管镜检查,TBNA穿刺物仍提示为炎性渗出物,结合既往病史及影像学变化,诊断为气管憩室伴感染。病程中反复发作肺部感染,考虑为气管憩室内粘液排空受阻继发感染后导致误吸可能。
患者此次发病过程中出现颈部疼痛,疼痛前曾有牙龈肿痛,第一次入住我院时,曾误判为牙周感染经颈深筋膜间隙下行感染所致1组淋巴结瘘可能。经过详细复习既往影像资料,最终明确为气管憩室炎,气管镜下见两处污苔附着,为该憩室的上下两个开口。考虑憩室解剖位置特点,其内分泌物引流不畅,有反复感染的风险。患者曾出现颈部软组织疼痛,为预防发生纵隔感染风险,建议患者外科手术,但外科手术风险较高,存在术后气管吻合口狭窄、瘘等风险,且咳嗽症状可能持续存在。经充分告知,患者及家属最终选择继续保守治疗,密切观察。本例患者憩室炎的病原体考虑为副溶血链球菌,该菌对青霉素、三四代头孢菌素、碳青霉烯类等敏感性较高,患者曾口服头孢呋辛(二代头孢菌素)效果不佳,换用头孢地尼(三代头孢菌素)后颈部疼痛缓解。故予头孢地尼口服带药出院,并予化痰治疗及康复指导,建议抗感染疗程2-3月。
文献复习
气管憩室是气管壁旁与气管相通的一个或多个囊状腔隙,通常无症状,多经影像学检查偶然发现,为一种良性改变,由于左后方有主动脉弓及食管的支持保护,气管憩室多发于气管右后外侧,平T1和T3椎体之间区域,平均直径为4mm(2mm-6mm)1。根据不同的解剖结构,气管憩室可分为先天性气管憩室和后天性气管憩室,先天性气管憩室源于气管后壁发育过程中的内胚层分化缺陷或胎儿6周时气管软骨的发育缺陷,多位于声带下方4-5厘米或隆突上方的气管右侧,全层的解剖结构包括呼吸道上皮、平滑肌和软骨,且常充满粘液。后天性气管憩室可以发生于任意层面,好发于胸廓入口的气管右后方,较先天性气管憩室大。原因可能为慢性咳嗽或伴有肺气肿的阻塞性肺病导致气管腔内压力增加,及气管肌肉力量的减弱;外科手术或气管软化等。后天性气管憩室的解剖结构只包括呼吸上皮,不影响平滑肌或软骨2, 3。
由于气管憩室与气管的连接处狭窄,导致分泌物排出不畅,憩室内分泌物堆积,通过与气管连接口溢出到气管、支气管,引起呼吸道症状,可表现为咳嗽、呼吸困难、喘鸣、咽部刺激感和反复的肺部感染。这种情况多见于先天性气管憩室,后天性气管憩室由于体积大,与气管开口较大,不易形成感染3。
无症状的气管憩室无需治疗,对于非老年同时有症状的患者推荐手术治疗,先天性气管憩室由于病变部位长期存在黏液,成为反复肺部感染的可能感染源,需手术切除,但手术需谨慎。老年的有症状患者可行保守治疗,主要包括抗菌素、化痰及康复治疗等4。
本例患者反复咳嗽多次就诊,曾误诊为ABPA、支气管哮喘、气管淋巴结瘘等,说明临床医生对憩室炎尚不熟悉,对慢性咳嗽的患者,需详细阅片,尤其不能忽略纵隔窗,以减少漏诊误诊。
转归:患者为中年女性,有反复肺部感染症状,有手术治疗指征,但因手术创伤较大,患者及家属要求暂保守治疗,予头孢地尼抗感染及化痰药物治疗,呼吸康复师指导使用呼气末正压训练器(OPEP)和主动排痰训练提高排痰能力。
参考文献(上下滑动)
1. Cheng HM, Chang PY, Chiang KH, Huang HW, Lee CC. Prevalence and characteristics of paratracheal air cysts and their association with emphysema in a general population. Eur J Radiol. Oct 2012;81(10):2673-7. doi:10.1016/j.ejrad.2011.10.013
2. Tanrivermis Sayit A, Elmali M, Saglam D, Celenk C. The diseases of airway-tracheal diverticulum: a review of the literature. J Thorac Dis. Oct 2016;8(10):E1163-E1167. doi:10.21037/jtd.2016.10.92
3. Early EK, Bothwell MR. Congenital tracheal diverticulum. Otolaryngol Head Neck Surg. Jul 2002;127(1):119-21. doi:10.1067/mhn.2002.126478
4. Lin H, Cao Z, Ye Q. Tracheal diverticulum: a case report and literature review. Am J Otolaryngol. Jul-Aug 2014;35(4):542-5. doi:10.1016/j.amjoto.2014.03.015
作者简介

张 慧
现就读于首都医科大学呼吸病学专业,医学博士在读,师从曹彬教授,目前于中日友好医院呼吸与危重症医学科临床学习,曾发表SCI 1篇、中文核心期刊3篇。

崔晓敬
医学博士,中日友好医院呼吸中心呼吸与危重症医学科主治医师,2018年通过呼吸与危重症专科医师考核 。北京防痨协会临床分会委员,中国防痨协会中西医结合分会委员,全国结核综合质控专家

