2023-12-19 17:00
作者 杨金梅、杨瑞芳
京港感染论坛
促进感染病诊治的标准化和规范化
![]()
▼ 一、病史回顾:
患者,男,66岁。既往体健。患者因"咳嗽、痰中带血10余天"入院。
现病史:患者约10天前因受凉后出现咳嗽、咳痰,晨起时加重,咳少量白痰,伴痰中带血丝,偶感胸闷,自行于家中口服药物治疗,自述效果欠佳,咳嗽逐渐加重,偶咳整口鲜血,外院完善肺CT提示"右肺下叶不规则软组织密度影、肺炎"。
体格检查:体温:37.1℃,脉搏:102次/分,呼吸:20次/分,血压:116/78mmHg。神志清,精神可。右侧下颌可触及一2*1cm肿大淋巴结,质地硬,活动度差,无压痛。双肺听诊呼吸音粗,未闻及明显干湿啰音。心率:102次/分,律齐,未闻及额外心音。腹软,无压痛。肝区有叩痛,Murphy征(-)。双下肢无明显水肿。
辅助检查:血常规+CRP:白细胞11.91*109/L,红细胞 4.23*1012/L,血红蛋白 125.2g/L,血小板 302*109/L,淋巴细胞比率 15.2%,嗜酸性粒细胞比率6%,超敏C反应蛋白 96.3mg/L;心电图:窦性心律,正常范围心电图。(2023-10-16)。
肺CT:右肺下叶不规则软组织密度影及条带状高密度影,建议进一步检查。考虑双肺炎症。(2023-10-16)
▼ 二、入院后完善常规检查:
急诊尿沉渣定量+尿液分析:渗透压 161m0sm/kgH20,尿糖 4+,比重 1.033,电导率4.7mS/cm;
入院后诊断:肺部占位性质待查 1.毛霉菌性肺炎 2.2型糖尿病
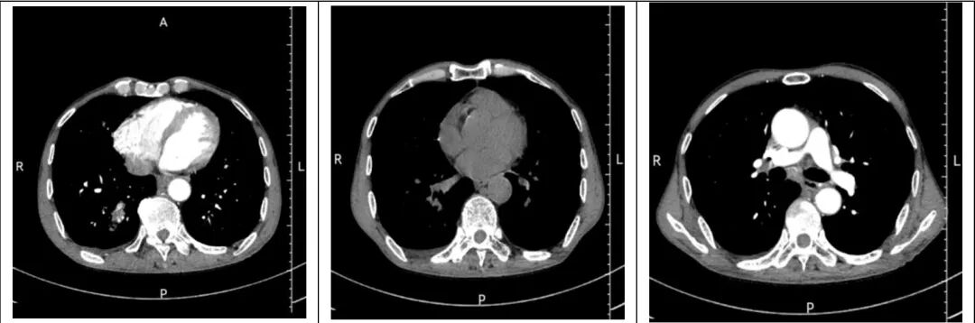
肺部CT:双肺炎症,右肺下叶团片状阴影;双肺微小结节及类结节;双肺纤维灶;纵隔及右肺门多发淋巴结;右侧少量胸腔积液;胸主动脉及冠状动脉钙化。见图1
▲图1
电子支气管镜结果示:右肺下叶基底段黏膜见皱襞样改变,部分黏膜增厚明显,NBI显像提示黏膜略品红色改变,见图2,于此处活检送病理学,结果见图3。
▲图2
病理结果示:(右肺下叶后基底段TBLB)黏膜急慢性炎伴真菌感染,局灶查见多核巨细胞。(右肺下叶基底段黏膜活检)黏膜组织慢性炎。特殊染色:抗酸染色(-),PAS(真菌+)。见图3
▲图3
▼ 三、相关结果回报:
细菌涂片及培养:阴性;抗酸涂片:阴性;真菌培养:小孢根霉(图4);菌落镜下形态:菌丝直径6-15微米,无隔或极少有隔,光滑,无色或浅灰色;假根形成于匍匐菌丝下;孢囊梗可长达4mm,与假根对生,直立,单生或丛生,分枝或不分枝;孢子囊直径40-350微米,顶生,球形;囊壁表面光滑或有针状结晶,成熟后易消融或破裂;1天为白色,3天后变为黑色。(图5)
外送NGS:小孢根霉(序列数4046)见图6。
治疗:给予两性霉素B静滴,艾沙康唑口服抗真菌治疗,经随访其肺部感染得到很好控制。
▼ 四、讨论:
根霉菌属广泛分布于自然界,隶属于毛霉目,毛霉科,最常见菌种有少根根霉菌,小孢根霉等,根霉为人类条件致病菌,易侵袭血管,导致毛霉菌病[1]。孢子传播速度快,常可因吸入感染鼻,脑,肺,皮肤和胃肠等。近年来,不同类型毛霉菌病的报告例数越来越多,包括皮肤,鼻脑,心脏,胃肠道,肺,心内膜,肾脏等[2]。根霉菌能够引起肺部侵袭性真菌感染,是引起肺部毛霉菌病最常见的种,小孢根霉肺部感染在免疫缺陷疾病患者中更为常见[3-4],特别是在糖尿病患者中,死亡率可高达70%-100%[5]。在免疫功能正常的患者中是罕见的,而且容易被临床医生忽略。小孢根霉肺炎主要表现为咯血,明显的呼吸困难[6],根霉有假根,匍匐菌丝和菌丝极少分枝等形态学特点。
本例患者患有糖尿病,在10天前因受凉后出现咳嗽,咳痰,晨起加重,家中自行药物治疗,效果欠佳,偶咳整口鲜血,肺CT显示有炎症,结合BALF真菌培养及NGS结果示小孢根霉,最终考虑小孢根霉肺部感染形成团片状阴影,排除肿瘤可能。
在治疗方面,脂质体两性霉素B作为一线治疗药物,应尽早给药。延迟开始脂质体两性霉素B治疗(>诊断后6天的)与3个月时的死亡率翻倍相关[7]。常规使用泊沙康唑预防毛霉病仍存在争议,这将增加真菌对泊沙康唑的耐药性风险[8]。该患者给予积极治疗,定期观察,目前感染已得到很好的控制。
▲图4
▲图5 乳酸酚棉蓝染色
▲图6 NGS结果
参考文献(上下滑动)
1.卢洪州,钱雪琴,徐和平,等,医学真菌检验与图解[M].上海:科学技术出版社,2018.
2.Jeong W, Keighley C, Wolfe R, Lee WL, Slavin MA, Kong DC, et al. The epidemiology and clinical manifestations of mucormycosis: a systematic review and meta-analysis of case reports. Clin Microbiol Infect. 2019;25:26-34.
3.Agrawal R, Yeldandi A, Savas H, Parekh ND, Lombardi PJ, Hart EM. Pulmonary Mucormycosis: Risk Factors, Radiologic Findings, and Pathologic Correlation. Radiographics 2020; 40: 656-666 [PMID: 32196429 DOI: 10.1148/rg.2020190156]
4.Reid G, Lynch JP 3rd, Fishbein MC, Clark NM. Mucormycosis. Semin Respir Crit Care Med 2020; 41: 99-114 [PMID: 32000287 DOI: 10.1055/s-0039-3401992]
5.Larché J, Machouart M, Burton K, Collomb J, Biava MF, Gérard A, Fortier B. Diagnosis of
cutaneous mucormycosis due to Rhizopus microsporus by an innovative PCR-restriction fragmentlength polymorphism method. Clin Infect Dis 2005; 41: 1362-1365 [PMID: 16206119 DOI: 10.1086/497078]
6.Li YH, Sun P, Guo JC. Clinical analysis of diabetic combined pulmonary mucormycosis. Mycopathologia. 2017;182:1111-7.
7.Chamilos G, Lewis RE, Kontoyiannis DP. Delaying amphotericin B-based frontline therapy significantly increases mortality among patients with hematologic malignancy who have zygomycosis. Clin Infec Dis. 2008;47:503-9.
8.Sun HY, Singh N. Mucormycosis: its contemporary face and management strategies. Lancet Infect Dis. 2011;11:301-11.
杨金梅
就职于滨州医学院烟台附属医院,主管技师,2014年毕业于重庆医科大学,曾在山东大学齐鲁医院进修微生物,从事微生物工作7年。
杨瑞芳
就职于滨州医学院烟台附属医院,副主任技师,从事临床微生物检验工作16年,山东省研究型学会临床微生物分会委员,山东省公共卫生学会生物安全分会委员,山东省医师协会重症感染微生物学组委员。
END
作者|杨金梅、杨瑞芳(滨州医学院烟台附属医院)
审校|王占伟(北京大学人民医院)
