2024-02-05 17:20
作者 鲁炳怀
京港感染论坛
促进感染病诊治的标准化和规范化
小RNAs(sRNAs)是细菌中许多生物过程的转录后调节因子,包括生物膜的形成和抗生素耐药性。迄今为止,尚未报道sRNA如何调节鲍曼不动杆菌中生物膜相关抗生素耐药性的机制。本研究旨在探究sRNA00203(53个核苷酸)对生物膜形成、抗生素敏感性以及与生物膜形成和抗生素耐药相关的基因表达的影响,这是首次展示sRNA00203对鲍曼不动杆菌中生物膜形成和生物膜相关抗生素抗性的影响。
该研究发表在2023年9月,Impairment of novel non-coding small RNA00203 inhibits biofilm formation and reduces biofilm-specific antibiotic resistance in Acinetobacter baumannii. Int J Antimicrob Agents. 2023 Sep;62(3):106889. 本文第一作者是Abebe Mekuria Shenkutie,通讯作者为Polly H.M. Leung。
![]()
鲍曼不动杆菌已从机会性病原体演变为WHO优先考虑的抗生素耐药细菌之一,该菌快速传播主要因为其显著的抗生素耐药和生物膜形成特性。鲍曼不动杆菌通过形成生物膜来适应恶劣环境,生物膜的形成导致基因表达的改变,从而发展出对抗生素的适应性耐药。除了双组分调节和群体感应系统外,小RNAs(sRNAs)在细菌细胞内的各种生物过程的转录后调节,包括生物膜形成和与生物膜相关的抗生素耐药的发展中,扮演着重要角色。sRNAs通过在目标mRNA的核糖体结合位点或附近形成碱基对,对包括生物膜发展在内的各种生物过程产生正面或负面的影响。先前的研究表明,某些sRNAs参与了A. baumannii的生物膜形成和细菌对上皮细胞的附着。但是,sRNAs在临床菌株中参与生物膜相关的抗生素耐药方面的作用还没有被充分研究。sRNA00203在A. baumannii ST1894菌株中的转录组研究中被发现显著上调,并与生物膜形成和抗生素耐药相关的基因有互补性。本研究旨在探究sRNA00203对生物膜形成、抗生素敏感性以及与生物膜形成和抗生素抗性相关基因表达的影响。
▼ 一、研究方法
◼ 细菌菌株和培养条件
A. baumannii ST1894菌株是从一名下呼吸道感染患者的痰液中分离出来的。在浮游生长阶段,A. baumannii ST1894菌株对亚胺培南、环丙沙星和黏菌素敏感。然而,在生物膜生长阶段,这一菌株被鉴定为超级生物膜形成者,并表现出对杀菌性抗生素(如黏菌素、亚胺培南和环丙沙星)的高度多重耐受性。A. baumannii ST1894菌株在37°C的Luria-Bertani(LB)琼脂上培养。
◼ sRNA00203的mRNA靶标预测
通过使用BLASTn工具搜索NCBI数据库,来评估编码sRNA00203序列的基因在A. baumannii菌株中的保守性。此外,使用IntaRNA算法来寻找sRNA00203可能的mRNA靶标。
◼ 构建sRNA00203敲除菌株
利用双等位基因交换法构建了sRNA00203敲除菌株。使用含有卡那霉素和碲化物抗性标记的自杀载体pMo130-TelR来删除目标基因,首先通过PCR扩增三个重叠的DNA片段,包括卡那霉素抗性盒、sRNA00203上游和下游的侧翼区域;使用ClonExpress Ultra-One Step Cloning Kit将三个重叠的PCR片段插入到pMo130-TelR(如图1)。
利用电转化法将重组质粒转入电转化能力强的A. baumannii ST1894细胞。这包括混合重组质粒和细胞、使用电转化池和Gene Pulser进行电脉冲处理,以及后续的孵育和离心。将电转化后的细胞接种到含卡那霉素的LB琼脂上,并筛选生长的菌落以确认sRNA00203基因的删除。
▲图1 构建过程示意图
◼ 用sRNA00203补偿稳定突变体
从A. baumannii ST1894的基因组DNA中扩增出编码sRNA00203的基因,并在引物中引入了NdeI限制性酶切位点,对扩增出的产物进行NdeI消化和纯化。使用含有碲化物和四环素标记的pWH1266-TelR质粒作为穿梭载体,通过NdeI消化使其线性化,并用CIP处理以防止自身连接。将sRNA00203编码基因的NdeI消化产物克隆到线性化的pWH1266-TelR质粒中,然后将该重组质粒通过电转化法转入sRNA00203敲除的A. baumannii ST1894菌株。通过在含有四环素和卡那霉素的LB琼脂板上筛选转化体,然后利用PCR方法确认sRNA00203的成功补充,并通过反转录PCR验证补偿菌株中sRNA00203的表达。
◼ 生物膜形成实验
使用Calgary生物膜装置对A. baumannii ST1894野生型、sRNA00203突变型和sRNA00203补充型菌株的生物膜形成能力进行测试。从LB琼脂板上的隔夜培养物中选取3-5个菌落,接种到最大恢复稀释液中,在96孔微量滴定板中,向每个孔中转移150μL的野生型、sRNA00203突变型或sRNA00203补充型菌株的细菌悬液,在37°C、110 rpm的条件下震荡培养48小时。培养后,移除浮游细胞,将孔洗涤三次,然后将板和盖子倒置并在室温下干燥2小时。使用结晶紫染色法量化微量滴定板上形成的生物膜质量,测定不同菌株的生物膜形成能力
◼ 生物膜抗生素敏感性测试
最小生物膜抑制浓度(minimum biofilm inhibitory concentrations ,MBIC)测定:采用肉汤微量稀释技术测定了野生型、sRNA00203突变型和sRNA00203补充型A. baumannii ST1894菌株对亚胺培南和黏菌素的MBIC。
最小生物膜清除浓度(minimum biofilm eradication concentrations ,MBEC)测定:使用Calgary生物膜装置测量了对亚胺培南、环丙沙星和黏菌素的MBEC,以评估不同菌株生物膜对这些抗生素的敏感性。
◼ RNA提取
从野生型、sRNA00203突变型和sRNA00203补充型菌株的浮游细胞和生物膜细胞中收集细菌细胞;使用PureLink RNA Mini Kit分离总RNA,并使用TURBO DNase处理分离的RNA,以消除基因组DNA的污染。
◼ 通过反转录PCR定量分析sRNA00203及与生物膜形成和抗生素耐药相关基因的表达水平
使用LunaScript RT Supermix Kit将从野生型、sRNA00203突变型和sRNA00203补充型A. baumannii ST1894菌株的浮游细胞和生物膜细胞中提取的RNA反转录成cDNA,然后利用Luna Universal Probe qPCR Master Mix进行TaqMan qPCR检测,使用gyrB基因作为内部对照来标准化目标基因的表达,使用2−ΔΔCt方法计算相对表达水平。
◼ 统计分析
使用GraphPad Prism进行基因表达数据分析,结果以平均值±标准偏差表示;数据正态性检验:使用Shapiro-Wilk检验测试数据分布的正态性。比较不同菌株生物膜细胞在570 nm处的平均光密度和目标基因表达水平的变化,使用单因素方差分析和Tukey事后测试进行数据对比;P值小于0.05被认为是统计学上显著的。
▼ 二、研究结果
◼ sRNA00203的特征描述
基因序列分析:使用BLASTx工具在NCBI NR数据库中搜索sRNA00203基因序列,结果表明这一基因序列不含有可识别的肽编码序列,表明它不编码蛋白质。
基因位置:sRNA00203的编码序列位于基因间区域,这进一步确认了sRNA00203是一种非编码小RNA。
序列保守性:sRNA00203的整个序列在NCBI GenBank数据库中存储的7557株A. baumannii中被发现是保守的,表明这一序列在不同的A. baumannii菌株中普遍存在。
互补碱基配对预测:使用IntaRNA算法预测了sRNA00203与参与A. baumannii ST1894生物膜形成和特定于生物膜的抗生素抗性基因的mRNA之间的互补碱基配对(Table 2)。该配对关系可能对sRNA00203在调控相关基因表达中的作用至关重要。
▼表2 使用 IntaRNA算法预测参与生物膜形成和生物膜特异性抗生素耐药性的基因的 sRNA 和 mRNA 之间的互补碱基配对
◼ 确认在A. baumannii ST1894中敲除sRNA00203基因
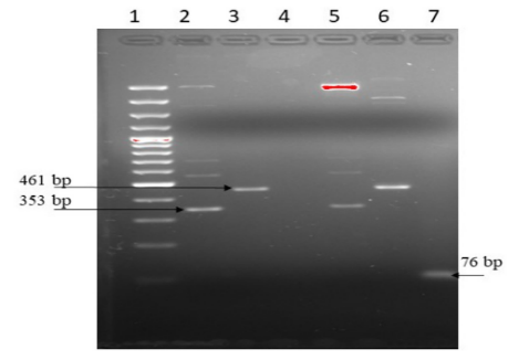
为了确认sRNA00203基因的成功敲除,通过PCR方法扩增并分析了以下区域:sRNA00203左侧侧翼区域和aph(3')-I基因5'末端之间的结合处,产生了353 bp的扩增产物。sRNA00203右侧侧翼区域和aph(3')-I基因3'末端之间的结合处,产生了461 bp的扩增产物(图2)。对461 bp的扩增产物进行测序,结果确认了aph(3')-I基因3'末端正确地定位于编码sRNA00203基因的右侧侧翼区域(图3)。
与野生型浮游细胞相比,敲除突变体生物膜细胞中sRNA00203基因的表达倍数变化是0.49,这明显低于野生型菌株(表达倍数变化5.49,P=0.005)和补充型菌株(表达倍数变化4.83,P<0.001)。
▲图2 PCR扩增结果
▲ 图3 测序结果
◼ sRNA00203失活对生物膜形成的影响
研究对比了三种菌株生物膜的形成能力,研究发现与野生型相比,敲除sRNA00203基因的突变型菌株在生物膜质量上显著减少了85%;sRNA00203补充型菌株在生物膜形成能力上恢复到与野生型相当的水平(图5),这些发现表明sRNA00203在A. baumannii ST1894中的生物膜形成过程中起到了调控作用。
▲图5 sRNA00203 失活对野生型、sRNA00203 突变体和 sRNA00203 互补鲍曼不动杆菌 ST1894 菌株生物膜形成能力的影响。
◼ sRNA00203对生物膜抗生素敏感性的影响
比较了野生型、sRNA00203突变型和sRNA00203补充型菌株对亚胺培南、环丙沙星和黏菌素的最小抑制浓度(MICs)和最小抑制生物膜浓度(MBICs)。
浮游生长阶段:在浮游生长阶段,三种菌株对所测试的三种抗生素均表现出敏感性。对于每种抗生素,不同菌株间的MICs相同,说明sRNA00203的删除未影响浮游细胞对这些抗生素的敏感性。
生物膜生长阶段(表3):sRNA00203突变型菌株的生物膜对亚胺培南和环丙沙星的MBIC显著降低,与野生型和补充型菌株相比分别降低了1024倍和512倍,以及128倍和64倍。黏菌素:sRNA00203突变型菌株的生物膜对黏菌素的MBIC降低了一半,但仍保持耐药性。
▼表3 sRNA00203缺失对鲍曼不动杆菌ST1894生物膜抗生素敏感性的影响
◼ sRNA00203敲除对生物膜抗生素耐药性的影响
进行了最小根除生物膜浓度(MBEC)测定,以评估消除野生型、sRNA00203突变型和sRNA00203补充型A. baumannii ST1894生物膜细胞所需的抗生素浓度(表4)。
抗生素剂量对浮游细胞的影响:各抗生素的最小杀菌浓度(MBCs)对不同菌株相同,表明sRNA00203的删除并未影响消除浮游细胞所需的最低抗生素剂量。
亚胺培南的MBEC显著降低:sRNA00203突变型对亚胺培南的MBEC显著降低,与野生型和补充型菌株相比降低了约128倍。
环丙沙星和黏菌素的MBEC:sRNA00203突变型对环丙沙星和黏菌素的MBEC与野生型相似,但与补充型相比增加了两倍。
sRNA00203的影响:删除编码sRNA00203的基因主要影响了对亚胺培南的MBEC,而对环丙沙星或黏菌素的MBEC影响较小。
▼表4 sRNA00203 缺失对抗生素消除生物膜的影响
◼ sRNA00203对与生物膜形成和抗生素耐药相关基因表达的影响
进一步分析了sRNA00203对与生物膜形成和抗生素抗性相关的几个基因表达的影响(图6)。
pgaB基因表达的影响:在野生型菌株的生物膜细胞中,pgaB基因的表达水平比浮游细胞高14.5倍。然而,当sRNA00203被删除时,生物膜细胞中pgaB的表达仅增加1.42倍,与浮游细胞相比大大降低。在sRNA00203补充型生物膜中,pgaB的表达恢复到与野生型类似的水平(13.7倍)。
novel00738基因表达的影响:在生物膜细胞中,novel00738基因的表达水平在野生型、sRNA00203突变型和sRNA00203补充型菌株中分别比浮游细胞高29.2倍、3.83倍和33.3倍。这表明sRNA00203的缺失显著降低了突变株中novel00738基因的表达。
novel00626基因的表达影响:sRNA00203敲除导致novel00626基因在生物膜细胞中的表达量比浮游细胞低2.2倍,而在野生型和sRNA00203补充型菌株中,其表达量分别比浮游细胞高30.8倍和25.8倍。
SecA基因的表达影响:SecA基因在野生型、sRNA00203突变型和sRNA00203补充型菌株的生物膜细胞中相比浮游细胞的表达量分别增加了63.5倍、2.6倍和58.2倍。特别地,当sRNA00203从野生型菌株中删除时,secA的表达量下降了94%。
CRP转录调节因子基因的表达影响:CRP转录调节因子基因在野生型、sRNA00203突变型和sRNA00203补充型菌株的生物膜细胞中相比浮游细胞的表达量分别增加了34.7倍、2.9倍和32.2倍。sRNA00203敲除导致该基因表达显著下降。
▲图6 野生型、sRNA00203突变体和sRNA00203互补鲍曼不动杆菌ST1894菌株生物膜细胞中生物膜特异性基因(pgaB、novel00738、novel00626、secA、CRP)的表达水平。
▼ 三、讨论
本研究证实了sRNA00203在A. baumannii ST1894的生物膜形成中具有重要作用,敲除sRNA00203基因能显著减少生物膜质量,而补充该基因则能恢复生物膜形成能力。sRNA00203突变体对环丙沙星和亚胺培南的最小抑制生物膜浓度(MBICs)显著降低,表明sRNA00203的缺失使生物膜细胞对这些抗生素更敏感。然而,对黏菌素的MBIC没有显著变化,暗示sRNA00203可能不涉及调节与黏菌素抗性相关的基因。研究还指出,sRNA00203参与调节A. baumannii生物膜中与环丙沙星和亚胺培南抗性相关的基因表达;另一方面,sRNA00203突变体对亚胺培南的最小根除生物膜浓度(MBEC)显著降低,约为野生型的1/128。而在sRNA00203补充型菌株中,MBEC被恢复到与野生型相似的水平,同时研究发现sRNA00203的敲除并未显著降低对环丙沙星的MBEC,表明其对环丙沙星耐受性的影响有限。这些发现表明sRNA00203参与调节影响生物膜形成的基因,从而影响生物膜对亚胺培南的耐受性,当sRNA00203被阻断时,亚胺培南能有效根除鲍曼不动杆菌的生物膜细胞。sRNA00203在NCBI数据库中存储的所有A. baumannii序列中均为保守序列,这表明sRNA00203有潜力作为治疗由A. baumannii引起的生物膜感染的新靶标。
基于IntaRNA的计算预测,本研究发现sRNA00203具有与编码pgaB、novel00738、novel00626、secA和CRP转录调节因子的基因mRNA互补的结合位点,这表明sRNA00203可能对这些基因具有调节作用。基因敲除实验表明,敲除sRNA00203显著降低了生物膜细胞中上述转录调节因子的表达,sRNA00203的补充恢复了这五个基因的表达水平,显示了sRNA00203对这些基因的积极调节作用。
▼ 四、结论
研究表明,敲除编码sRNA00203的基因显著降低了A. baumannii的生物膜形成能力,并增加了生物膜细胞对环丙沙星和亚胺培南的敏感性,这些特性可能是参与生物膜形成和生物膜相关的抗生素耐药基因表达降低的后果。由于在A. baumannii中发现sRNA00203是保守的,针对sRNA00203的治疗策略可能是治疗由A. baumannii引起的与生物膜相关感染的潜在解决方案。
鲁炳怀
中日友好医院(国家呼吸医学中心)呼吸与危重症医学科,临床微生物与感染实验室。主任医师,教授,北京协和医学院博士生导师。近年主持多项国家级与省部级科研项目。在CMI、EMI、AAC等杂志发表SCI收录文章40篇。
END
作者|鲁炳怀(中日友好医院呼吸与危重症科临床微生物与感染实验室)
审校|谢轶(四川大学华西医院)
