2024-03-20 17:26
作者 雷海娟、李娟
京港感染论坛
促进感染病诊治的标准化和规范化
![]()
▼ 一、病例特征:
患者女性,34岁,因“间断咳嗽5年,咯血1天”入院,入院诊断:支气管扩张伴咯血。
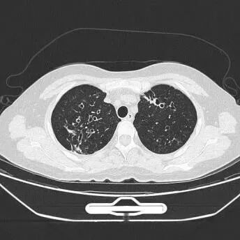
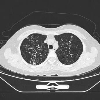
1.主诉:患者于5年前无明显诱因出现咳嗽伴咯血1次,量50ml,无明显胸痛、胸闷、气短,无呼吸困难,无咳痰等不适,遂前往当地医院就诊,完善相关检查后诊断为“肺结核”,遂转往传染病医院进行进一步治疗,期间抗酸杆菌痰培养阳性,确诊为“肺结核”予以抗结核四联药物,维持治疗一年半。后间断咳嗽5年,偶有咳黄痰,今年9月前、6月前患者无明显诱因再次出现咳嗽,偶有少量黄色粘痰咳出,间断咯血,每次咯出鲜血30-50ml,口服抗生素等药物治疗后好转。今晨患者睡觉时突发咳嗽伴咯血,咯出鲜血50ml,伴咽干、咽痒,无胸痛胸闷气短等症状,在我院急诊完善相关检查提示双肺支气管扩张并周边炎症,以双肺上叶为著,双肺散在实性小结节,纵膈内趋于钙化淋巴结,气管小憩室。予以“白眉血凝酶肌肉注射止血、莫西沙星抗感染及血必净抗炎治疗”,以“支气管扩张伴咯血”收住我院呼吸科。
2.既往史:自诉5年前于外院确诊为“支气管扩张症”、“肺结核”,给予四联抗结核药物治疗半年余。
▼ 二、辅助检查:
1.实验室检查:
2023.12.19:血常规:WBC:10.05×109/L,中性粒细胞计数:7.37×109/L,葡萄糖:6.7mmol/L,γ-干扰素释放试验阴性,肝肾功心功电解质等其余检查均未见明显异常。
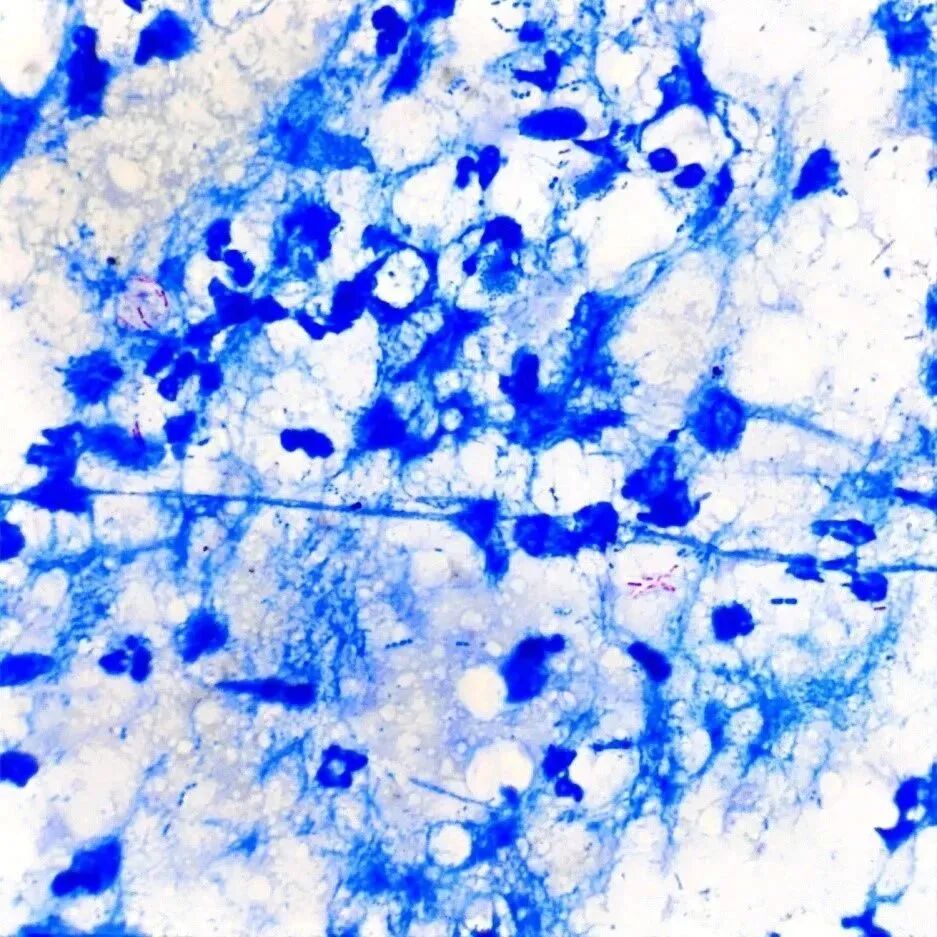
2023.12.21:支气管灌洗液着抗酸杆菌阳性(++):1-9条/10视野;结核分枝杆菌rpoB基因和突变检测阴性。
▲图1:支气管灌洗液抗酸染色
▲图2:结核分枝杆菌rpoB基因和突变检测结果
2023.12.25:支气管灌洗液细菌培养:脓肿分枝杆菌
2.影像学检查:双肺支气管扩张并周边炎症
▼ 三、微生物鉴定过程:
1.患者于12.21进行支气管灌洗,随即送灌洗液进行微生物检查,结核分枝杆菌rpoB基因和突变检测阴性,抗酸染色镜下菌体细长,稍弯曲,两端钝圆,革兰染色不着色,抗酸染色强阳性,猜测该患者是否为肺结核分枝杆菌感染,立马找到该患者灌洗液标本在血平板和巧克力平板上接种,35℃培养4个工作日可见到粗糙,不透明,乳白菌落。
2.细菌鉴定:MALDI Biotyper微生物快速鉴定系统(BRUKER)
▼ 四、治疗
2023.12.19:开始青霉素钠、左氧氟沙星、哌拉西林钠他唑巴坦钠治疗。
2023.12.21:患者为求进一步治疗转往专科医院。
▼ 五、相关知识学习
非结核分枝杆菌(NTM)广泛存在于环境中,只有少数菌种可引起人类严重疾病和机会性感染,其中脓肿分枝杆菌是最常见的NTM之一,也是快生长分枝杆菌家族中的一员,主要引起肺部感染,还可侵犯人体的皮肤软组织、骨关节、淋巴结等组织器官造成局部或播散性的感染。该菌可感染免疫功能正常的患者,也可感染免疫功能低下的患者[1]。由于人口老龄化和免疫抑制人群增多等原因,世界范围内,非结核分枝杆菌肺病发病率逐渐升高[2-5]。
引起NTM肺病最常见的是脓肿分枝杆菌,好发于肺部已有基础疾病的患者,如慢性阻塞性肺疾病、支气管扩张症、囊性纤维化、尘肺病和肺泡蛋白沉着症等[6],常表现为慢性肺部疾病的恶化,也可有急性发病。脓肿分枝杆菌为条件致病菌,可通过皮肤、呼吸道等途径侵入人体,其病程与结核病相似,临床症状与肺结核亦相仿,如发热、盗汗、乏力、咳嗽、咯血等,胸部影像学表现也相似,其影像学以多发支气管扩张、薄壁空洞为特征性改变,同时伴有细支气管炎、多发微结节、树芽征及局部肺实变,仅仅依靠临床症状与胸部影像学表现容易误诊。
本案例为一例抗酸染色阳性结核分枝杆菌rpoB基因和突变检测阴性,患者出院后培养鉴定为脓肿分枝杆菌,微生物工作人员及时与该患者主管医生联系并与患者及时沟通进行下一步治疗的案例。该患者影像学报告显示双肺支气管扩张并周边炎症,长期咳嗽咳痰,患者曾就诊外地专科医院行培养后考虑诊断非结核分枝杆菌病,该病组织学上可分为四型:纤维空洞或类结核型、支气管扩张型、结节型及其他(肺纤维化、肺气肿、肺不张),结合以上类型考虑患者为支气管扩张性NTM。
抗酸染色不能区分结核分枝杆菌复合群(MTC)和NTM,抗酸染色阳性需要进一步进行菌种鉴定,该患者取肺泡灌洗液进行各项检查,在灌洗液涂片中查见抗酸杆菌,结核分枝杆菌基因检测阴性,培养后经布鲁克质谱仪质谱鉴定为脓肿分枝杆菌。肺泡灌洗液在采集时不经过口腔和咽喉,因此污染率低,灌洗部位为病灶所在的肺脏部分,含菌量比较高,提高了阳性检出率,因此是理想的病原学送检标本。
鲍生娟老师等人的研究显示,阿米卡星、亚胺培南、大环内酯类抗生素、氯法齐明和利奈唑胺对脓肿分枝杆菌脓肿亚种肺病具有良好疗效,为脓肿分枝杆菌肺病的治疗提供了参考。本病例患者待我们检出脓肿分枝杆菌时已为求进一步治疗转往专科医院,具体治疗无法追踪。
参考文献(上下滑动)
[1]Griffith, D. E. et al. An official ATS/IDSA statement: diagnosis, treatment, and prevention of nontuberculous mycobacterial diseases. Am. J. Respir. Crit. Care Med.175, 367-416 (2007).
[2] Winthrop KL,MarrasTK,AdjemianJ,et al. Incidens and Prevalens of Nontuberculous Mycobacterial Lung Disease in a Large U. S. Managed Care Health Plan,2008—2015. Ann Am Thorac Soc,2020,17(2):178—185. Doi:10.1513/AnnalsATS.201804-236OC.
[3] Prevots DR,Shaw PA,Strickland D,et al. Nontuberculousmycobacterial lung disease prevalence at four integrated healthcare delivery systems.Am J Respir Crit Care Med,2010,182(7):970-976.doi: 10. 1164/rccm. 201002-03100C.
[4] Suresh P, Kumar A, Biswas R, et al. Epidemiology of Nontuberculous Mycobacterial Infectionin Tuberculosis Suspects. Am JTrop Med Hyg,2021,105(5):1335-1338. doi:10.4269/ajtmh. 21-0095.
[5]KumarK,LoebingerMR.Nontuberculous MycobacterialPulmonary Disease:Clinical EpidemiologicFeatures,RiskFactors,and Diagnosis:The Nontuberculous MycobacterialSeries. Chest,2022,161(3):637-646.doi: 10. 1016/j. chest.
[6]MIYAKE N, CHONG Y, NISHIDA R, et al. Mycobacterium abscessus and massiliense lung infection during macrolide treatment for bronchiolitis obliterans after allogeneic hematopoietic stem cell transplantation[J]. J Infect Chemother, 2018,24(1):78-81.
[7]鲍生娟,邵玲玲,王敬等,脓肿分枝杆菌脓肿亚种肺病6个月治疗效果及影响因素分析[J].中国防痨杂志,2023,45(4):349-354.
雷海娟
就职于青海大学附属医院检验科微生物组,初级检验师,2021年7月14—18日参加临床微生物专业人员细菌真菌感染诊断能力提升项目(培微计划)第六期理论学习班;2023年5月15—19日参加全国细菌耐药监测网实践培训班。
李娟
就职于青海大学附属医院检验科微生物组,主管检验师,从事微生物专业11年,具有较丰富的临床经验。
END
作者|雷海娟、李娟(青海大学附属医院)
指导|黄文辉(青海大学附属医院)
审校|王占伟(北京大学人民医院)
