2024-04-02 17:20
作者 甘芳容、尹琦
京港感染论坛
促进感染病诊治的标准化和规范化
![]()
▼ 一、病例概况
1.现病史:2023年12月26日,患者及康养中心人员共诉,患者约1小时前在无明显诱因下开始出现寒战,发热,体温最高39℃,呕吐胃内容物1次,无咖啡样物,解稀烂便1次,无腹痛,无明显咳嗽咳痰,无头晕头痛,无言语不利,无认知障碍,无胸闷痛及放射痛,夜间可平卧休息,无端坐呼吸及阵发性呼吸困难,无无尿频尿急尿痛等等不适,遂至急诊就诊,急诊拟“发热查因”收入院。
2.患者既往有冠心病、不稳定型心绞痛、PCI术、高血压、高尿酸、糖尿病和糖尿病足史。目前规律服用冠心病二级预防药物、非洛地平和非布司他片,长期皮下注射胰岛素而未监测血糖。否认脑梗死病史,否认肝炎、结核等传染病病史,否认重大外伤史,否认输血史,否认药物及食物过敏史。
3.查体:T38℃、P90次/min、 R20次/min、Bp135/64 mmHg。急性病容、神志清晰,自主体位,平车进入病房,查体欠合作。患者精神状态欠佳,双下肢无浮肿,右侧第5趾远端发黑,无明显渗出;左侧第5趾坏疽,脓性分泌物渗出,恶臭味。臀部多处压疮。余皮肤粘膜正常、无皮疹,无瘀点、无肝掌、蜘蛛痣。
4.辅助检查:入院查心电图,窦性心律,一度房室传导阻滞,右束支传导阻滞。胸部CT见两侧胸腔积液并两肺下叶局部膨胀不全,气管黏液附着。心脏增大,心包积液,主动脉硬化,左右冠状动脉致密影,纵隔及右心膈角区散在结节,部分稍大。X线提示患者左足第5趾各节趾骨、第5跖骨远端骨质破坏,周围软组织肿胀;右足第1跖骨远端骨质密度增高,双足各骨多发小囊状影。
5.临床诊断:1.肺部感染 2.急性左心衰竭 3.糖尿病足坏疽伴感染 4.II型糖尿病 糖尿病足 5高血压病3级很高危组 6.慢性肾衰竭 肾性贫血7.低蛋白血症 8.甲状腺功能减退。
▼ 二、实验室检查
1.常规检查:
血常规:白细胞:14.28×10^9 /L;红细胞:2.71×10^12/L;血红蛋白:72.0g/L;中性粒细胞百分比:90.6%;淋巴细胞百分比:2.0%。
生化:葡萄糖12.12mmol/L;钾5.65mmol/L;钠135.0mmol/L;尿素42.77mmol/L;肌酐441umol/L;CRP168.24mg/L;白蛋白27.3g/L;高敏肌钙蛋白T0.078ng/ml;肌红蛋白276.30ng/ml;降钙素原1.04ng/ml;血清三碘甲状腺原氨酸<0.31nmol/L。27日复查降钙素原为危急值,13.33 ng/ml。
2.微生物检查
考虑该患者有糖尿病和糖尿病足史,且高热(38℃)、炎性指标高、血流感染风险高,入院后即抽取双侧双瓶血培养,以及病足脓性分泌物行细菌和真菌培养。27日,分泌物检出金黄色葡萄球菌。30日,右手厌氧瓶血培养报阳,培养时长109.5h。革兰染色见阴性杆菌。后经质谱仪(安图)和测序鉴定为沃氏嗜胆菌(Bilophila wadsworthia)。
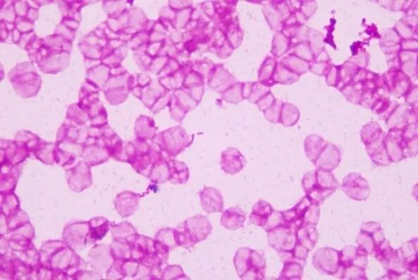
细菌形态
▲图:血培养革兰染色见阴性杆菌 x100倍
▲图:血培养瑞氏染色见杆菌 x100倍
▲图:培养96h可见细小、透明、光滑凸起菌落
▲图:β内酰胺酶阴性
▲图:质谱鉴定图谱:沃氏嗜胆菌(9.429分)
▲图:测序结果:沃氏嗜胆菌(相似度99.858%)
▼ 三、病原菌及病例讨论
生物学特性:沃氏嗜胆菌(Bilophila wadsworthia, B.wadsworthia)是变形菌门,脱硫弧菌科、嗜胆菌属的代表菌,它是一种专性厌氧、革兰氏阴性、耐胆汁、过氧化氢酶阳性杆菌[1]。胆汁生长、脲酶和过氧化氢酶强阳性以及通过产硝酸盐可与其他属区分开来。菌落细小、透明/半透明,过氧化氢酶强阳性可用于此菌的种间鉴定。菌体宽长为0.7~1.1 um *1.0-10.0 um,无无荚膜、无鞭毛、无芽孢。G + C含量为39~40 %[2]。
本菌为专性厌氧菌,生长缓慢。20%胆汁(牛胆)和1%丙酮酸可促进其生长,而在含丙酮酸的培养基上,可诱导β-内酰胺酶产生。在血平板上培养4天,可见菌落直径为 1-2 mm 的不规则、低凸、透明菌落;在BBE平板上呈玫瑰色、圆形、伞形、中心呈黑色(产H2S)、半透明的菌落。在布氏菌琼脂平板上培养4 d,菌落呈圆形、直径0.6-0.8mm、凸起、半透明或灰色的菌落。有时需孵育7天,才可见明显菌生长。
临床意义:沃氏嗜胆菌是人体肠道正常菌群之一,偶尔在唾液和阴道中也可检出。嗜胆菌属菌是机会致病菌,其丰度的增加与肠道炎症相关[3]。其致病机制包括参与上调牛磺酸代谢的肠道基因导致胆汁酸代谢紊乱和产生H2S促进机体炎症反应加重。于1989年首次报道,46.7%的坏疽和穿孔阑尾炎患者的阑尾组织或腹膜液均分离到该菌[4]。从临床标本中分离出的其他样本包括阴囊脓肿、下颌骨髓炎、化脓性腋窝汗腺炎、胸腔积液、关节液和血液。腹膜手术组织分离率达5.2%,并伴随多种菌混合感染[5, 6]。该菌的血流感染病例罕见,首例沃氏嗜胆菌血流感染病例来自肝脓肿病人,而后在免疫力低下病例中亦有分离[7]。
治疗方案:根据CLSI M11厌氧菌用药方案,嗜胆菌属首选抗生素为哌拉西林/他唑巴坦、头孢米诺、拉氧头孢、亚胺培南和美罗培南,次选药物为莫西沙星。本例患者,入院当日(26日)用药为头孢哌酮钠舒巴坦钠1g Q12H;青霉素钠0.5g QD,患者体温虽有下降,但炎性指标却持续上升。27日,改用哌拉西林钠他唑巴坦钠 4.5g Q8H;青霉素钠 0.5g QD,后患者体温和炎性指标均得到缓解。CLSI M11推荐的厌氧菌治疗方案如下表1:
表1厌氧菌治疗推荐方案[8]
a:包括其它拟杆菌属,普氏菌属,卟啉单胞菌属,梭菌属,韦永氏球菌属,嗜胆菌属。
▼ 四、心得体会
沃氏嗜胆菌导致的血流感染,在临床上是极其罕见的。而根据国内外报道,其在腹腔手术组织中检出并不低,为何在国内罕见报道呢?一方面,可能由于该菌生长缓慢,因培养时间不足漏检或被其它厌氧菌覆盖。沃氏嗜胆菌感染多为多重菌感染,常伴随其它厌氧菌检出[4,7]。另一方面,由于较少见感染,而易误认为污染菌。本病例中,从血培养报阳到发出二级报告(菌名),历经7日之久。因行质谱鉴定时,其结果重复性较差,后咨询厂家,为建库菌数较少所致,但后续测序结果与质谱结果一致。因此,对于少见慢生长厌氧菌,我们应该重视并通过延长培养时间、使用特殊培养基等方法来提高其检出率,减少漏检,为临床提供准确结果。
参考文献(上下滑动)
[1]BARON E J, SUMMANEN P, DOWNES J, et al. Bilophila wadsworthia, gen. nov. and sp. nov., a unique gram-negative anaerobic rod recovered from appendicitis specimens and human faeces [J]. J Gen Microbiol, 1989, 135(12): 3405-3411.
[2]BARON E J. Bilophila wadsworthia: a unique Gram-negative anaerobic rod [J]. Anaerobe, 1997, 3(2-3): 83-86.
[3]NATIVIDAD J M, LAMAS B, PHAM H P, et al. Bilophila wadsworthia aggravates high fat diet induced metabolic dysfunctions in mice [J]. Nat Commun, 2018, 9(1): 2802.
[4]BENNION R S, BARON E J, THOMPSON J E, JR., et al. The bacteriology of gangrenous and perforated appendicitis--revisited [J]. Ann Surg, 1990, 211(2): 165-171.
[5]SUMMANEN P H, JOUSIMIES-SOMER H, MANLEY S, et al. Bilophila wadsworthia isolates from clinical specimens [J]. Clinical infectious diseases : an official publication of the Infectious Diseases Society of America, 1995, 20 Suppl 2: S210-211.
[6]SHINAGAWA N, YURA J, TAKEYAMA H, et al. [Bilophila wadsworthia isolated from surgical specimens] [J]. The Japanese journal of antibiotics, 2006, 59(6): 452-458.
[7]ACKER E, GEORGE M, FAROOQI T, et al. Polymicrobial anaerobic sepsis due to Bacteroides fragilis, Eggerthella lenta, Ruminoccocus gnavus, and Bilophila wadsworthia in a patient with myeloproliferative neoplasm [J]. Anaerobe, 2022, 78: 102641.
[8]NCLSI. Methods for antimicrobial susceptibility testing of anaerobic bacteria (M11,9th ed.) [J]. 2024.
甘芳容
硕士,主管技师,就职于柳州市柳铁中心医院检验科,毕业于中国疾病预防控制中心,从事临床微生物检验工作一年。
尹琦
本科,副主任技师,就职于柳州市柳铁中心医院检验科,从事检验科临床微生物工作30余年。申请并完成课题多项,自治区级成果转化奖一项,发表多篇文章,在微生物学工作中有丰富经验和很深的造诣。
END
作者|甘芳容、尹琦(柳州市柳铁中心医院检验科)
审校|王占伟(北京大学人民医院)
