2024-06-20 17:20
作者 邓宁 等
京港感染论坛
促进感染病诊治的标准化和规范化
![]()
▼ 一、病情介绍
患者男,66岁,2023年7月17日以间断咳嗽咳痰10年,加重伴咯血2天收治入院。
现病史:患者10天前受凉后出现发热,偶有咳嗽咳痰,伴有气短 ,在其他医院给予对症抗感染治疗后情况有所好转。本次于两天前出现咳嗽咳痰,加重伴有咯血,为求进一步诊治,遂来我院检查。
既往史:有高血压病史五年。体格检查:双肺呼吸音粗,可闻及明显湿罗音。
▼ 二、一般实验室检查
ESR:26mm/h↑,WBC:7.12×10^9/L ,N%:72.9,RBC:4.63×10^12/L,HGB:138.0g/L,PLT:205×10^9/L,PCT:0.08ng/ml↑。
▼ 三、微生物学检查
7.17痰培养,分离出流感嗜血杆菌。
7.22肺泡灌洗液检查:
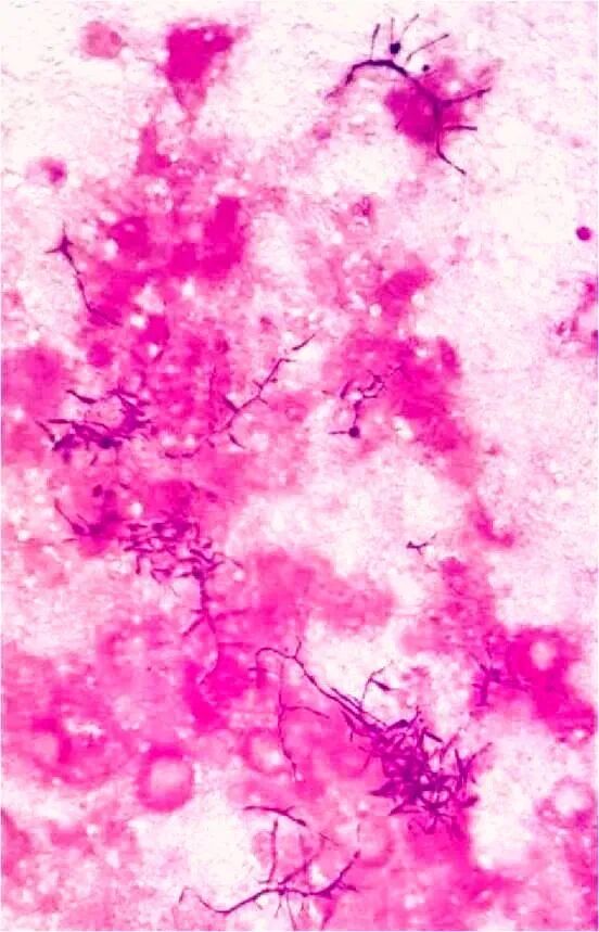
涂片革兰染色:镜下可见革兰阳性,直角分支状,线团样的菌丝体(图一)。抗酸染色:弱抗酸阳性(图二)。结核杆菌DNA定量:阴性。肺泡灌洗液细菌培养:培养18-24h,血琼脂平板上可见针尖大小菌落(图三),分纯48小时后逐渐增大,菌落表面有皱褶,呈下陷“咬琼脂”现象(图四),经质谱鉴定为诺卡菌盖尔森基兴诺卡菌。
▲图一
▲图二
▲图三
▲图四
肺泡灌洗液外送mNGS:诺卡菌属病原估测浓度>1.0E+6copies/ml.
▼ 四、影像学检查
诊断意见:慢支,肺气肿,肺大泡;双肺下叶感染;纵隔内多发陈旧性淋巴结;甲状腺右侧叶低密度灶;肝右叶类圆形低密度灶。
▼ 五、诊疗过程
该病例为老年患者,有五年高血压病史,咳嗽咳痰10年史,同时CT示肺气肿,肺大泡,双肺下叶感染。入院前抗感染治疗有所好转,7月17日患者咳嗽咳痰,加重伴有咯血,出现气促症状,临床考虑患者属于免疫功能低下,给予哌拉西林十莫西沙星联合抗感染经验治疗,同时送检痰液行一般细菌培养,检出流感嗜血杆菌。7.22送检肺泡灌洗液,镜下可见革兰阳性,直角分支状,线团样的菌丝体,弱抗酸阳性,培养48小时有表面有皱褶,呈下陷“咬琼脂”菌落生长,质谱仪鉴定为诺卡菌盖尔森基兴诺卡菌。同期肺泡灌洗液外送mNGS:诺卡菌属病原估测浓度>1.0E+6copies/ml。考虑患者免疫功能低下,经微生物室和药学部会诊,改为磺胺类药物口服抗感染,明显好转,于7.28号出院。病人出院后遵医嘱常期口服复方新诺明,十二月底到我院复查CT,CT结果提示肺部感染已完全恢复,病人情况良好。
▼ 六、经验与体会
对人致病的诺卡菌主要多种,比较常见的有皮疽诺卡菌,盖尔森基兴诺卡菌,脓肿诺卡菌,亚洲诺卡菌,巴西诺卡菌和豚鼠耳炎诺卡菌等。
肺诺卡菌病为机会性感染,患者多伴基础疾病。该患者有5年高血压病史,且咳嗽咳痰十余年,近期出现咳嗽咳痰加重并伴有咯血,影像学检查提示慢支,肺气肿,双肺下叶感染,实验室检查血沉和降钙素原轻度升高,都是诺卡菌感染的危险因素。患者肺泡灌洗液中发现大量线团样的菌丝体,结合患者病史与临床表现,以及影像学特征,可诊断为肺诺卡菌病。口服莫西沙星抗流感嗜血杆菌,口服复方新诺明治疗诺卡菌,患者病情好转出院,嘱口服复方新诺明定期复查,12月底到复查CT,提示肺部感染已完全恢复。
诺卡菌感染的临床表现及影像学表现缺乏特异性,易误诊。该病诊断的关键是病原学检查,主要依据分离培养,诺卡菌生长缓慢,因此怀疑诺卡菌感染的患者,实验室应当延长培养时间,并加强涂片检查,以提高阳性率。
邓宁
主任检验师,现就职于甘肃省天水四零七医院检验科,从事临床微生物检验工作10余年,核心期刊发表文章多篇,申请并完成课题多项,具有扎实的微生物学检验工作经验。
范增成
毕业于青海医学院,主管检验师,现就职于甘肃省天水四零七医院检验科,省级期刊发表文章两篇,主持参与完成课题四项,从事微生物检验多年。
何香
检验师,本科学历,现就职于甘肃省天水四零七医院检验科,主要从事临床微生物检验工作。
END
作者|邓宁、范增成、何香(甘肃省天水四零七医院)
审校|鲁炳怀(中日友好医院)
