2024-11-27 17:20
作者 孟冬丽、曾吉
京港感染论坛
数智化赋能感染诊疗与研究
华中科技大学同济医学院刘蓉教授团队和武汉市第四医院检验科曾吉教授团队近期在Nature子刊《Communications Biology》(中科院分区一区)发表了《Helicobacter pylori outer membrane vesicles directly promote Aβ aggregation and enhance Aβ toxicity in APP/PS1 mice》的论文。华中科技大学同济医学院博士生孟冬丽为第一作者,曾吉教授和刘蓉教授为共同通讯作者。
![]()
阿尔茨海默病(AD)是一种最常见的中枢神经系统退行性病变,主要发生在老年或老年前期。 根据国际阿尔茨海默病协会公布的数据,全球大约有 4680 万例AD患者。我国65岁及以上人群AD患病率为 3.21%,现预计约有1000万患者。AD的主要病理学改变是脑内神经原纤维缠结(neurofibrillary tangles, NFTs)形成和细胞外β-淀粉样蛋白(β-amyloid, Aβ)沉积形成老年斑(senile plaque, SP),以及神经元的进行性丢失。“淀粉样蛋白级联假说”认为 AD 病变是由β淀粉样蛋白 (Aβ)聚集产生的毒性引起。
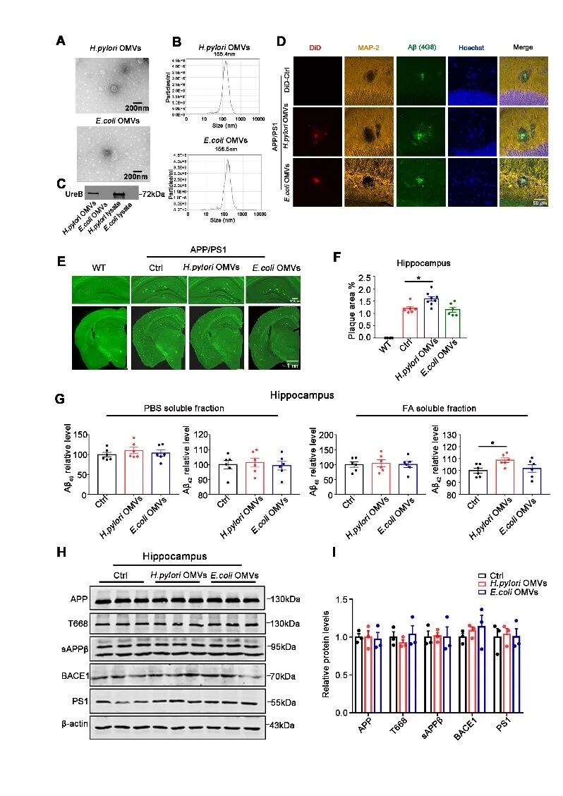
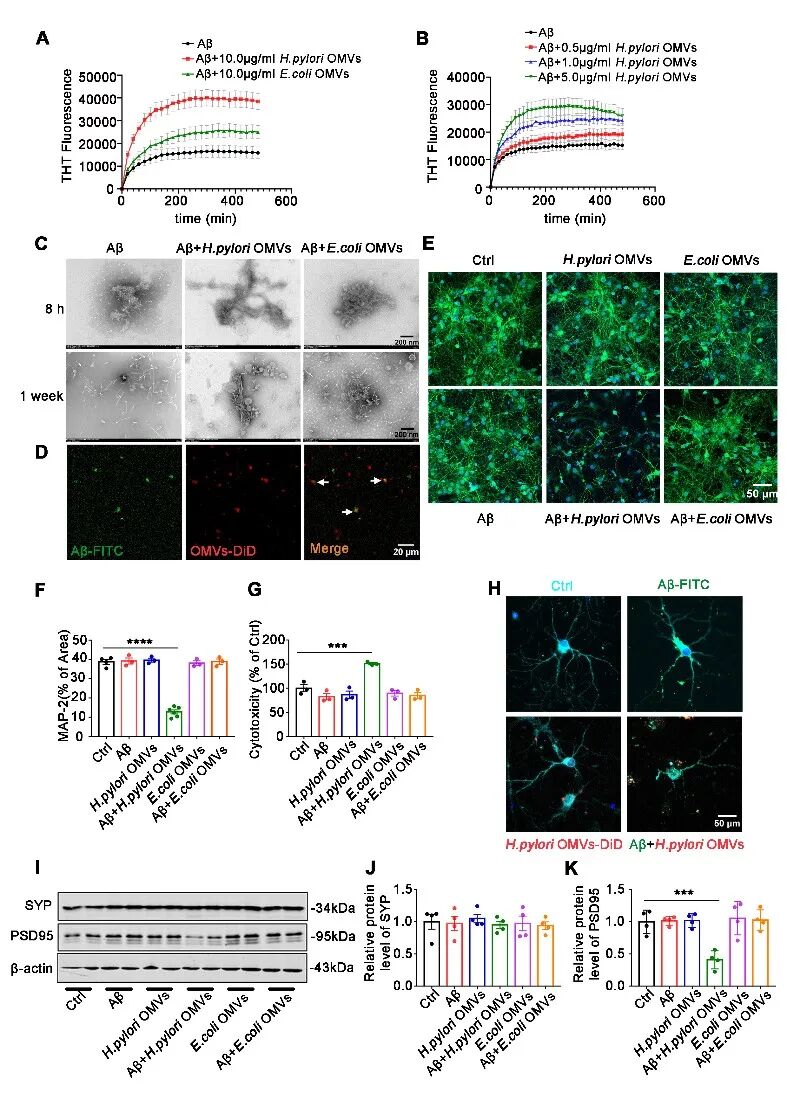
研究团队前期的研究发现幽门螺杆菌(H. pylori)感染与阿尔茨海默病(AD)发病具有相关性,但其机制尚不明确。本研究探讨了H. pylori分泌的外膜囊泡(OMVs)对Aβ聚集和毒性的影响。研究发现,给AD模型小鼠即APP/PS1小鼠腹腔注射的H. pylori OMVs可进入小鼠大脑并与脑内Aβ斑块共定位,并伴有Aβ斑块增加、小鼠认知功能障碍加重和突触功能障碍加剧,表明H. pylori OMVs能促进Aβ斑块沉积并加剧AD进展。体外实验进一步表明,H. pylori OMVs能显著加速Aβ聚集并增加Aβ引起的神经毒性。通过脂质组学分析发现H. pylori OMVs中的脂质成分,尤其是LPC 18:0加速Aβ聚集并增强Aβ神经毒性。此外,研究还证实H. pylori OMVs增强Aβ神经毒性是由钙离子所介导的。该研究揭示了H. pylori加速AD进展的新机制,其中H. pylori OMVs携带的脂质成分在促进Aβ聚集和神经毒性方面发挥了关键作用。
本研究受到国家自然科学基金面上项目、武汉市科技局基础研究项目基金等资助。
原文链接:https://www.nature.com/articles/s42003-024-07125-1
图1. H. pylori OMV通过其脂质成分LPC 18:0加速Aβ聚集并增强Aβ神经毒性,从而加重APP/PS1小鼠的AD病变。此外, H. pylori OMVs增强Aβ神经毒性是由钙离子所介导的。
图2. APP/PS1小鼠腹腔注射H. pylori OMV后,H. pylori OMV能进入小鼠大脑,与脑内Aβ斑块共定位并增加Aβ斑块。
图3. H. pylori OMV在体外实验中加速Aβ聚集并增强Aβ的神经毒性。
孟冬丽
2023年6月毕业于华中科技大学同济医学院病理学与病理生理学专业,主要研究方向为神经退行性疾病的发病机制研究。近年来发表SCI论文6篇,其中第一作者SCI论文3篇。目前就职于新乡医学院生理学与病理生理学系。
曾吉
主任技师,武汉市第四医院检验科主任。中国医疗保健国际交流促进会临床微生物分会常委,湖北省医学会微生物与免疫学分会常委,湖北省医院协会临床检验管理专业委员会委员,湖北省细菌真菌耐药监测学术委员会委员,武汉市医学会检验专业委员会委员兼秘书等。是sCIM和rCDM方法的设计者。以第一作者和通讯作者发表论文三十多篇,其中SCI收录15篇,发明专利1项,主持和参与国自然、省、市级科研课题十余项。获得“武汉市有突出贡献中青年专家”称号。
END
作者|孟冬丽(新乡医学院)、曾吉(武汉市第四医院)
审校|谢轶(四川大学华西医院)
