2024-07-04 17:20
作者 韦雪芬、黄春兰
京港感染论坛
促进感染病诊治的标准化和规范化
脓肿分枝杆菌属于快速生长非结核分枝杆菌(NTM),NTM广泛存在于自然环境中,特别是土壤和水中,快速生长分枝杆菌易引起肺、骨骼、皮肤、关节等的感染,而脓肿分枝杆菌引起的血流感染比较少见,现对1例血流感染案例进行报道。
![]()
▼ 一、病例摘要
基本信息:患者,女性,71岁,广西人,因“发热10余天”,为进一步诊治于2024年3月14日来我院感染科门诊就诊。
现病史:患者10余天前开始出现发热,夜间发热为主,伴头晕、纳差、乏力,伴下肢肌肉酸痛,偶有咳嗽,无明显咳痰,无畏寒、寒颤等不适,曾在外院诊所输液治疗发热无好转,感染科拟“发热”收住院。起病后患者精神、食欲、睡眠欠佳,大、小便正常,体重下降约1.5kg。
既往史:既往有艾滋病病史,目前方案为TDF+3TC+EFV。否认结核、高血压、冠心病、糖尿病等传染病史,否认重大外伤、手术、输血及过敏等。
体格检查:T:38.6℃,P:78次/分,R:20次/分,BP:134/66mmHg;神志清,慢性病面容,全身皮肤及巩膜无黄染,无贫血貌。左腋下可触及一肿大淋巴结,大小约2~3cm,固定,质韧,无压痛。其余无特殊异常。
初步诊断:1.感染性发热2.艾滋病3.淋巴结增大。
▼ 二、诊疗经过
1、常规心电图检查:正常范围心电图。
2、彩色多普勒超声:甲状腺多发结节,右侧颈部及双侧腋窝淋巴结肿大,左侧颈部未见淋巴结肿大,肝左叶偏大,余未见异常。
3、胸部CT平扫:双肺支气管血管束粗多,右肺下叶内基底段见一实性结节影,两肺见多发钙化结节影,其中左肺下叶钙化结节局部与邻近胸膜粘连,右肺上叶尖段和左肺下叶见条索状密度增高影,右肺上叶尖段病灶邻近支气管受牵拉扩张。
4、病理诊断:
⑴左侧甲状腺:可疑恶性肿瘤、乳头状癌。
⑵右颈部淋巴结穿刺组织:排除癌症或肿瘤。
⑶组织活检病理学检查:骨髓组织增生较活跃(约60%~70%)免疫组化排除癌症或肿瘤。
5.骨髓穿刺检查:骨髓增生明显活跃,粒系比例增高,红系相对比例减低,血小板增多。骨髓涂片铁染色:骨髓涂片铁染色外铁:+++;内铁:18.0%阳性。骨髓涂片PAS:骨髓涂片PAS幼红细胞阴性。
6.实验室常规检查:白细胞:27.43×109/L↑,血红蛋白:104g/L↓,血小板:574×109/L↑,中性粒细胞比值:84.1%↑,C-反应蛋白:86.46mg/L↑,HIV抗体:阳性,新型冠状病毒核酸检测阳性, CD4+绝对值530个/ul↓, CD8+绝对值545个/ul,痰涂片抗酸杆菌阴性,痰结核分枝杆菌培养阴性,六项呼吸道病原体核酸检测、真菌D-葡聚糖检测、细菌毒素测定及其余常规检测等未见异常。
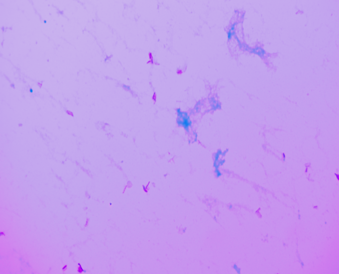
7.微生物血培养:3月14日血培养左肘(抽血)于21日报阳,报阳时间7天,并涂片革兰染色镜检,第一次涂片(厚片)镜下见大量成团或排列呈Y、V字型的革兰阳性杆菌,着色不均匀,似“影子”(图1),第二次涂薄片革兰染色,镜下见菌体不着色或着色不均似“影子”如(图2),高度怀疑抗酸杆菌,把片子分别进行金胺“O”荧光染色和妻尼氏抗酸染色(冷染),均为阳性(图3、4),将阳瓶转种血平皿、巧克力平皿和罗氏培养基置CO2培养箱35℃培养,培养4天后的菌落(图5)。质谱仪鉴定为脓肿分枝杆菌,质谱分数为8.676,质谱结果(图6)。
8.患者住院期间体温、CRP、WBC、中性粒细胞百分数相关指标变化情况如下(图7、图8)
图1.第一次革兰染色涂片(1000ⅹ)
图2.第二次革兰染色涂片(1000ⅹ)
图3.金胺“O”荧光染色(1000ⅹ)
图4.萋尼氏抗酸染色(冷染)(1000ⅹ)
图5.培养4天后,左为罗氏培养基菌落、右为血平皿菌落
图7 A 用药前体温
图7 B用药后体温 图7.患者用药前后体温变化
图8.CRP、WBC、中性粒细胞百分数炎症指标变化
9.抗菌药物治疗经过:3月14日,入院时考虑感染性发热,给予头孢曲松抗感染治疗体温升高不稳定,炎症指标未明显降低,临床调整用药予哌拉西林/他唑巴坦抗感染治疗。3月19日,患者因反复发热,哌拉西林/他唑巴坦抗感染效果欠佳,给予升级为美罗培南抗感染治疗。3月23日,报告血培养鉴定结果为脓肿分枝杆菌后,临床更换阿米卡星、阿奇霉素联合美罗培南抗感染治疗用药一周后患者无发热,各项炎症指标趋于正常,各项生命体征平稳,精神状态佳,顺利出院,出院按医嘱口服阿奇霉素、利福布汀、莫西沙星抗感染治疗,并定期我科门诊随诊。
出院诊断:1.非结核分枝杆菌病(脓肿分枝杆菌)2.艾滋病3.甲状腺乳头状癌?4.新型冠状病毒感染。
▼ 三、病例分析
脓肿分枝杆菌属于快速生长非结核分枝杆菌中的一种,因其生长速度快而命名。分枝杆菌属的细菌细胞壁中含有较多的脂质,一般的染料难于着色,革兰染色可呈阳性,镜下可见“影子”细胞。本案例中,血液涂片革兰染色呈阳性杆菌着色不均匀部分见“影子”,后经金胺“O”荧光染色、萋尼氏抗酸染色(冷染)确定为抗酸杆菌。当革兰染色遇到呈阳性杆菌着色不均匀部分见“影子”时,应向抗酸杆菌方面考虑,用抗酸染色加以实证。本例血培养经培养7天后单侧报阳,另一侧血培养瓶及不同时间抽血的双侧血培养继续延长增菌培养至14天未报阳,检验人员怀疑有可能仪器报的假阴性,于是取出血瓶盲转血平皿、巧克力平皿培养5天仍不长菌,考虑可能跟病原体释放入血菌量的多少和抽血时间有关。
脓肿分枝杆菌好发于肺部感染,是肺快速生长分枝杆菌感染中最常见的呼吸道病原体,60%~80%的慢性肺病由该菌导致,快速生长分枝杆菌血流感染最常见于恶性肿瘤患者,致病菌中脓肿分枝杆菌占比为18.2%[1],NTM引起的肺部感染在临床上与结核病和其他慢性呼吸道疾病较难区别,临床症状以反复发热、盗汗、体重减轻为主,结核分枝杆菌以咳嗽、咳痰、咯血为主,本案例患者无明显咳痰,偶有咳嗽,无畏寒、寒颤等不适,两者相比较,NTM引起的症状更加温和。因此本案例感染原发病灶我们推测在肺部,原因是病人虽无明显咳痰,但偶有咳嗽,又有反复发热、下肢肌肉酸痛的临床症状,与NTM引起临床相符,入院肺部CT显示肺部索状密度增高影或结节影,出院2月后肺部CT显示肺部结节已有吸收,再次证实感染原发病灶在肺部。虽本实验室痰涂片抗酸杆菌阴性,痰结核分枝杆菌培养阴性仅排除了结核分枝杆菌感染,如能完善实验室检查如结核分枝杆菌特异性T细胞检测、肺泡灌洗液的结核杆菌培养及分枝杆菌菌种鉴定基因检测、肺泡灌洗液或痰Xpert MTB/RIF结核分枝杆菌及利福平耐药检测等可进一步明确感染源。本例特点为老年女性,有艾滋病,长期服用抗HIV药物,,未检出病原菌前,相继使用头孢曲松、哌拉西林他唑巴坦、美罗培南后各项炎症指标虽较前下降,但体温反复升高且峰值曾高达40℃,3月23日血培养报告脓肿分枝杆菌后,用药方案改为美罗培南、阿米卡星、阿奇霉素、抗新冠病毒感染治疗一周后,患者体温、炎症指标都趋于正常,精神状态佳,表明治疗有效。
随着非结核分枝杆菌感染日益增多,在免疫功能缺陷人群中特别是HIV感染者易并发非结核分枝杆菌感染[2]。脓肿分枝杆菌好发于肺部感染,多发性硬化患者属于易感染人群。抗结核药物对多数NTM耐药[3],因此NTM的鉴定对临床鉴别诊断和治疗有重要意义。脓肿分枝杆菌通常对阿米卡星、克拉霉素、头孢西丁、氟喹诺酮类、亚胺培南/西司他丁、阿奇霉素、米诺环素等药物敏感[4]。
▼ 四、总结
近年来脓肿分枝杆菌的检出常有报道,血流感染检出脓肿分枝杆菌相对较少。在血培养一级报告中,涂片染色镜检很是考验微生物人的基本功,这项操作可为临床诊断和早期的经验用药提供帮助。当遇到革兰染色菌体着色形态有异议时,应使用抗酸染色或别的染色方法多加考证。血培养一级报告的结果,可作为转种平皿培养出的细菌鉴定提供参考,如果转种后的细菌与涂片的细菌形态染色不相符时,要及时查找原因。快速生长分枝杆菌在实验室分离率很低,由于快速生长分枝杆菌生长时间需2~7日,因此在做其他标本如痰标本、尿标本和无菌体液标本等培养怀疑为快速生长分枝杆菌时,培养48h未见致病菌或无细菌生长,应延长培养至7天,可增加结核分枝杆菌特异性T细胞检测、肺泡灌洗液的结核杆菌培养及分枝杆菌菌种鉴定基因检测、肺泡灌洗液或痰Xpert MTB/RIF结核分枝杆菌及利福平耐药基因检测、mNGS等检测方法提高快速生长分枝杆菌的阳性检出率[5]。
参考文献(上下滑动)
[1]宋媛,郝桐,谷吉凤,等.脓肿分枝杆菌导致导管相关血流感染1例并文献复习[J].中国感染控制杂志,2020,19(4):375-378.
[2]李敏,文恩.《临床微生物学检验》[M].中国医药科技出版社,2019:352-360.
[3]汪复,张婴元.《实用抗感染治疗学》[M].人民卫生出版社,2016:693-694.
[4]何礼贤,肖永红,陆权等.《国家抗微生物治疗指南》[M].人民卫生出版社,2015:110-112.
[5]周庭银,胡继红.《临床微生物检验标准化操作程序》[M].上海科学技术出版社,2024:484-488.
韦雪芬
本科,就职于广西柳城县人民医院检验科,从事临床微生物6年,目前(2024年3月13日-2024年9月12日)在广西医科大学附属柳州市人民医院检验科进修微生物。
指导老师:黄春兰
硕士,副主任技师,广西医科大学附属柳州市人民医院检验科,从事微生物8年,发表核心期刊论文6篇,主持厅级课题4项。
END
作者|韦雪芬(广西柳城县人民医院)
指导|黄春兰(柳州市人民医院)
编辑|朱聪智(中国医科大学附属盛京医院大连医院)
审校|王占伟(北京大学人民医院)
