2025-04-29 17:21
作者 赵峰 等
京港感染论坛
数智化赋能感染诊疗与研究
【关键词】:乳明串珠菌;血流感染;鳞癌复发;肌无力
一、病例介绍
患者信息:女,73岁,农民。
主因: 眼睑下垂10天,咀嚼吞咽困难、言语不清2天,于2025-03-19 20:13入院。
现病史:患者10天前无明显诱因出现眼睑下垂、颈部及四肢乏力、咀嚼吞咽困难、2天前言语不清伴活动不利,自行服用药物后未见明显好转,因病情较重,为求进一步诊治于2025-03-19 入住我院重症肌无力科。
既往史: 33年前行食管癌手术,术后给予放疗;19年前行右侧肋骨切除术,8年前行颈动脉支架植入术,2月余前食管吻合口复发,病理示鳞癌。
查体: T:36℃,P:116次/分,R1:8次/分, BP:128/80mmHg,双肺呼吸音粗,未闻及干湿啰音,心率116次/分,节律规整。腹软,无压痛、反跳痛及肌紧张。四肢肌力、肌张力正常,双下肢无水肿。专科查体:双眼裂6点位,双眼上视0秒,无复视,双眼球固定,闭目有力,双上肢平举80秒,双下肢抬举>100秒,仰卧抬头45度0秒,鼓腮力弱,咀嚼吞咽困难,言语不清。
二、实验室检查
2.1、 一般实验室检查
血液常规分析:白细胞6.34×109/L,中性粒细胞百分比78.2%↑,淋巴细胞百分比14.3↓,血红蛋白124g/L,血小板174×109/L。
尿液分析:酮体3+,尿潜血2+,尿胆原2+,尿白细胞2+。粪便常规:潜血试验+。
感染相关指标测定:降钙素原0.47ng/mL,超敏C反应蛋白41.3mg/L↑。血气指标:二氧化碳分压58.6mmol/L↑,氧分压 69.6mmHg↓,实际碳酸氢根浓度33.3mmol/L↑,标准碳酸氢根浓度29.0mmol/L↑,碱剩余6.1mmol/L↑,白介素-6 388.77pg/ml。肿瘤指标:CA72-4 23.9U/ml↑,CYFRA21-13.34ng/ml↑。心标检查:肌红蛋白1121.9ng/ml↑,高敏肌钙蛋白I 0.165↑,乳酸脱氢酶1000U/L↑,a-羟丁酸脱氢酶919U/L↑,肌酸激酶1146U/L↑,肌酸激酶同工酶42.78ng/ml↑,肌无力相关检查:抗乙酰胆碱受体10.00nmol/L↑,肌电图示肌源性损害,低频无递减。抗核抗体荧光筛查实验 阳性(+),核均质型1:100。
2.2、 微生物学检查
2.2.1痰培养结果:4月8号送检痰标本,革兰染色涂片:镜下可见散在革兰阴性杆菌和阳性球菌,经质谱鉴定为鲍曼不动杆菌。
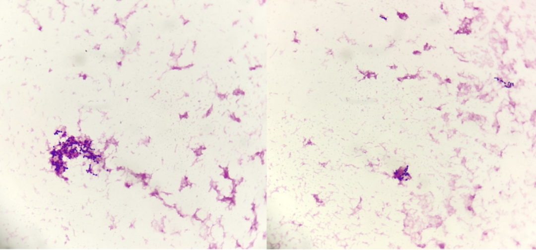
2.2.2血培养结果:4月13日送检双套血培养,当日双侧4瓶血培养瓶均报阳,需氧瓶报阳时间11h59min,报阳曲线(图1),厌氧瓶报阳时间9h29min,报阳曲线(图2),阳性瓶血涂片革兰染色:需氧和厌氧血涂片镜下均可见中等大小革兰阳性球菌(图3),作为危急值报给临床,转种血平板(图4)和巧克力平板(图5)24h后形成灰白色、不透明、表面光滑的圆形菌落。菌落直径大约在0.5-1.0毫米之间。经基质辅助激光解析飞行时间质谱(MALDI-TOF MS)鉴定为乳明串珠菌(图6-7)。
图1乳明串珠菌(LLac)血培养需氧瓶报阳图
图2 乳明串珠菌(LLac)血培养厌氧瓶报阳图
图3 LLac血涂片革兰染色
图4 LLac培养24h血平板菌落图
图5 LLac培养24h巧克力平板菌落图
图6 LLac质谱特征峰图
图7 LLac质谱特征峰图
2.3、 影像学检查
2.3.1床旁胸片:双肺纹理增厚,双肺可见散在斑片状,条片状高密度影。
2.3.2胸腹部CT:左侧胸腔胃,食管上段胸腔内见软组织结节影,最大直径2.0×1.4cm;双肺见散在条索状密度增高影,右肺上叶及左肺下叶见条片影,双肺见多发结节钙化灶。纵隔内见多发淋巴结影,部分肿大伴钙化,最大直径1.5cm。双侧胸膜增厚,双侧部分肋骨形态欠佳。
2.3.3床旁超声:主动脉瓣环径17mm,升主动脉内径29mm,心房左房前后径27mm,右房横径35mm,左室舒末径37mm,室间隔厚度9mm,左室后壁厚房9mm,右室前后径17mm流出道23mm,主肺动脉25mm。
DoppleMVE80cm/sMVA144cm/sAOV189cm/SPAV78cm/S,心功能EF60%FS32%SV37ml。M型超声示:主动脉壁增厚,回声增强,运动减低,重搏液低平,肺动脉内径正常,主动脉瓣形态正常,开放可,关闭欠佳,三尖形态正常,开放可,关闭欠佳。Doppler及CDFI:二尖瓣舒张期前向血流E峰减低,A峰增高,E/A<1,主动脉瓣及三尖瓣可探及少量反流信号,TDI:二尖瓣瓣环位置测量组织运动频谐,e约72cm/s,E/e <14。
三、诊疗过程
3月19日入院,对病人进行血液、心电图、CT等检查,了解病人一般情况,机体免疫状态,肿瘤及感染情况。病情进展迅速,随时可能出现呼吸心跳骤停,危及生命,VTE评分10分,为高危,病人情况较复杂,评估为危重,采取特级护理以及重症监护,患者眼睑下垂,咀嚼吞咽困难、言语不清饮食较差,发热,给与补液,补钾治疗。
3月20日患者咀嚼吞咽困难,入量不足,请营养科会诊,留置胃管,给予营养支持,目前病情危重,为保证液路,给予PICC置管,密切观察患者病情,待检查结果回报后,进一步制定治疗方案。
3月21日患者存在营养风险,继续给予脂肪乳葡萄糖氨基酸及蛋白型肠内营养粉剂提供热量,延髓症状重,给予艾加莫得静点,目前免疫风暴,拟行激素冲击治疗。
3月22日患者气短不能平卧,血气分析提示呼吸衰竭,请重症医学科会诊,考虑低血容量性休克,给与补液升压,患者发热。痰多,CT示双肺炎症,给予痰培养明确病原菌,患者重症肌无力合并免疫相关性肌病,心肌损伤,给予激素冲击治疗。
3月25日患者冲击激素治疗中,痰培养提示无致病菌,复查胸部CT,了解肺部感染变化情况。
3月26日激素开始减量,CT示双下肺实变增多,患者目前卧床,活动减少,密切观察病情变化。
4月2日激素减量第5天,复查CT胸部平扫+CTVE1,胸腔管,食管上段腔内软组织结节,结合病史,考虑复发,继续供能,纠正低蛋白血症,抗感染,化痰,护胃,抗凝等对症治疗。
4月8日患者晨起发热,仍眼睑下垂,颈部及四肢乏力,患者免疫力低下,观察体温及患者病情变化,留取痰培养。
4月10日痰培养提示耐碳青霉烯鲍曼不动杆菌,给与床旁接触隔离及对症治疗。
4月13日患者仍间断发热,留取血培养及痰培养。
4月14日,检验科报血培养革兰阳性球菌危急值。
4月15日,血培养结果为乳明串珠菌,临床诊断为菌血症,给予头孢哌酮舒巴坦抗菌治疗。
4月18日,患者无发热,自觉症状好转。
四、讨论
乳明串珠菌(Leuconostoc lactis LLac)隶属乳杆菌科,为革兰阳性球菌,不产芽孢、有荚膜、无动力、氧化酶和过氧化氢酶均为阴性,是一种兼性需氧菌。在哥伦比亚血琼脂上容易生长,镜下呈球形或双凸透镜形等形态,可在多种蔬菜和奶制品中发现,人体内可从阴道和粪便样本中分离出来,LLac对多种抗生素敏感,但对万古霉素和替考拉宁天然耐药。LLac为机会性致病菌,生物制剂委员会将其归为风险组1,即对人类不太可能引起感染,在临床微生物实验室中,若细菌鉴定仅限于经典生化技术,在形态上LLac可能与肠球菌属或链球菌属混淆。由于其罕见性,故给鉴定带来困难,本病例经MALDI-TOF MS鉴定(置信度99.9%)。
乳明串珠菌的研究多集中于奶制品发酵,一直被认为是酿酒和制糖工业中所需的细菌,医学致病研究相对较少,对知网和万方进行搜索,发现目前中文报道的LLac菌血症文献仅3例,其致病过程均不同于本病例,但共同的特点是这些患者的体制都较弱。LLac虽致病力较弱,但自20世纪90年代以来,外网文献中记录了LLac一些感染类型,证实了其具有潜在的致病力。本病例讨论了一例罕见的乳明串珠菌菌血症,对PubMed、Embase、Web of Science、Cochrane Library、clinical trial registration databases、Google scholar等文献网站进行搜索后,发现没有相似病例报道,本病例可能是国内外首次发生在患有肌无力和复发鳞癌后的LLac菌血症,患者为老年女性,患有肌无力和食管复发鳞癌,因咀嚼吞咽困难、眼睑下垂、言语不清送入我院重症肌无力科室治疗,及其具有研究价值。
本例患者眼睑下垂,咀嚼吞咽困难、言语不清,诊断为重症肌无力。重症肌无力(myasthenia graris MG)是一种由自身抗体介导的神经-肌肉接头(NMJ)传递障碍的自身免疫性疾病,致病性乙酰胆碱受体(AChR)抗体和肌肉特异性受体酪氨酸激酶(MuSK)抗体是其主要的抗体,本例患者抗乙酰胆碱受体10.00nmol/L,明显偏高,该疾病可累及全身骨骼肌,自身抗体通过对神经-肌肉接头上的乙酰胆碱受体或其它蛋白进行攻击,阻碍了神经与肌肉间的信号传导,造成全身肌肉无力,临床特点为波动性无力和病理性疲劳。主要表现为骨骼肌无力、易疲劳,活动后加重,休息和应用胆碱酯酶抑制剂后症状明显缓解、减轻,症状呈“晨轻暮重”。眼外肌最易受累,表现为对称或非对称性上睑下垂和/或双眼复视。本例为肌无力患者,且处于恶性肿瘤免疫治疗后,目前为应用激素冲击治疗中,患者处于免疫风暴状态,其病情危重,进展迅速,随时可能出现呼吸心跳骤停,VTE评分10分。患者免疫功能低下,间断发热,血常规示中性粒百分比偏高,不除外合并病毒感染及真菌感染可能。在LLac血流感染之前,患者痰培养鉴定结果为耐碳青霉烯的鲍曼不动杆菌,给予床旁接触隔离治疗,患者免疫力较低,增加了LLac菌血症的风险。
本病例患者在入院十余天天后出现LLac菌血症,药敏结果显示对青霉素G和氨苄西林敏感,考虑到患者特殊情况及自身状态等因素,采用头孢哌酮舒巴坦抗菌治疗,使用后,成功治愈了患者LLac菌血症。对LLac菌血症来源进行分析,首先,感染可能不是来自肺部和泌尿系,因为患者影像和检验结果前后比较并无明显变化,其次,可能是皮肤,来自患者本身的皮肤或者与其接触的其它人员,经侵入性操作造成感染,但采用床旁接触隔离措施后,皮肤源感染基本也可以排除,最后,本病例LLac血流感染最有可能是消化道,因为消化道是LLac的储存库,患者食管癌术后吻合口复发鳞癌,以及胃穿孔修补术,进一步增加了LLac感染风险,患者的粪便潜血实验为阳性,支持这一推断。目前已发表的治疗LLac感染病例,与感染相关的因素包括:免疫功能低下、既往使用抗生素(尤其是万古霉素)、肠外营养、中心静脉导管、手术、肝功能衰竭、慢性肾功能衰竭、血液透析和大面积烧伤,然而,也有文献报道LLac相关感染发生在健康患者身上,但其传播方式和病理生理学机制仍不清楚。治疗所使用的抗生素种类较多,例如,青霉素、克林霉素、利奈唑胺、大环内酯类、氨基糖苷类、头孢菌素类和四环素类等均曾被报导使用,但这些抗生素的敏感性并不十分明确,亦无相关的治疗指南,所以选择合适抗生素对患者进行治疗,观察其病情是否在临床和生物学指标上会有改善,具有重要意义。
总结,本病例讨论了机会性致病菌LLac,引起老年肌无力伴鳞癌患者菌血症,该LLac菌血症十分罕见,具有研究价值。LLac对万古霉素天然耐药,万古霉素的大量使用是LLac感染的因素之一,故对于革兰阳性球菌感染的用药,临床医生须考虑到万古霉素天然耐药细菌的存在,以免造成严重后果。目前国际上对LLac菌血症的治疗方案尚未标准化,期待针对此类菌制定具体方案,以确保治疗有效。检测过程中,微生物实验室能够明确鉴定该菌种,并出具药敏结果,对改善临床结局至关重要。此外,微生物实验室应评估对替代治疗抗生素的敏感性,以避免LLac菌血症治疗失败。
参考文献(上下滑动)
[1]徐波,陈光. 从血液培养中分离出乳明串珠菌1例[J]. 中国临床研究,2012,25(9):901.
[2]张勇,陈萍,周娅. 乳明串珠菌所致败血症1例及分析[J]. 医学信息,2017,30(10):192.
[3]泽碧,吴红,史亦丽. 乳酸明串珠菌致健康婴儿脓毒症1例并相关文献复习[J]. 中国感染控制杂志,2017,16(10):973-975.
[4]Tripathy S, Jamwal A, Varghese G, Sarawat D, Patel SS, Tejan N, Sahu C. Characterization of Leuconostoc lactis Bacteremia during a 2-year Study at a Tertiary Care Center in North India-An Observational Analysis. Am J Trop Med Hyg. 2024 Jun 4;111(1):129-131. doi: 10.4269/ajtmh.23-0678.
[5] Azghar A, Azizi M, Lahmer M, Benaissa E, Ben Lahlou Y, Benajiba N, Elouennass M, Maleb A. A very rare case of bacteraemia in a 4-year-old girl with osteopetrosis with probable Leuconostoc lactis infection. Access Microbiol. 2023 Oct 13;5(10):000439. doi: 10.1099/acmi.0.000439.
[6]Gumustop I, Ortakci F. Comparative genomics of Leuconostoc lactis strains isolated from human gastrointestinal system and fermented foods microbiomes. BMC Genom Data. 2022 Aug 2;23(1):61. doi: 10.1186/s12863-022-01074-6.
赵峰
硕士,主管检验技师,执业医师
单志灵
硕士,主管检验技师,执业医师
邢聪
硕士,主管检验技师
