2025-06-04 17:20
作者 曾晖
京港感染论坛
智驱融合:重构感染诊疗新范式
单核细胞增生李斯特菌是一种能引起人畜共患的食源性致病菌。人们食用被单核细胞增生李斯特菌污染的食物后能引起李氏杆菌病,会导致胃肠炎、脑膜炎、败血症等疾病。与其他食源性疾病相比,单核细胞增生李斯特菌具有较高的致死率,可达20%~30%,严重阻碍了食品工业的发展。因此,对单核细胞增生李斯特菌的研究日益受到人们的关注[1]。单核细胞增生李斯特菌是革兰阳性菌,需氧和兼性厌氧,无芽孢。李斯特菌属中,只有单核增生李斯特菌对人具有致病性。该菌一般存在于土壤、粪便、未杀菌的牛奶、污水等环境中,耐低温,生命力较强[2]。本文将通过一例单核细胞增生李斯特菌感染引起的脓毒症来讲述鉴定过程及鉴定方法。
一、病史简介
1.患者:女性 52岁 ,急性起病。
2.主诉:“乏力、发热3天,加重伴气促1天”。
3.现病史:患者家属代诉,3天前患者无诱因出现发热,未监测,具体体温波动不详,伴全身乏力、精神差,无咳嗽、咳痰,无呕吐、腹泻,无胸闷、气促,无头痛、意识障碍、四肢抽搐、大小便失禁,1天前患者乏力加重,伴气促,伴有咳嗽、咳脓痰,遂呼120至我院急诊就诊。拟“脓毒症”收入住院。
4.既往史:曾因诊断“1.慢性粒细胞白血病 BCR/ABL(p210)阳性伴T315I突变慢性期2.单倍体异基因骨髓联合外周血造血干细胞移植术后(HLA6/12相合,女供母,O+供O+)”在我院血液内科住院治疗。既往有高血压病史。否认糖尿病、慢性肾功能不全、脑血管病等慢性病史,否认病毒性肝炎、肺结核、伤寒、疟疾病史等传染病史,否认精神病史、地方病史、职业病史,药物过敏史或食物过敏史:否认,输血及输血制品:否认,预防接种史:不详;无嗜烟酒史。
5.体格检查:在急诊抢救室时查体:Spo2:97%。血压:168/101mmHG。呼吸:26次/分。脉搏:125次/分。体温:36.6℃。神清,表情淡漠,不配合查体,嘴角无歪斜。
6.初步诊断:脓毒症、脓毒性休克、单倍体异基因骨髓联合外周血造血干细胞移植术后(HLA6/12相合,女供母,O+供O+)、慢性粒细胞白血病 BCR/ABL(p210)阳性 伴T315I突变 慢性期。
二、辅助检查
1、影像学检查
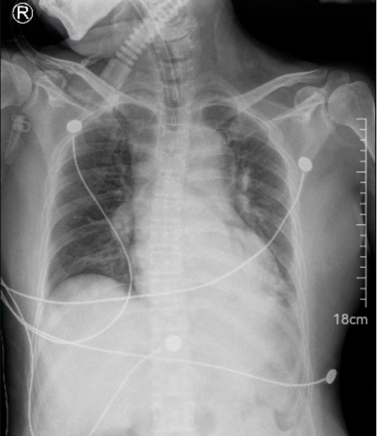
胸部影像学表现: 两肺纹理增多、紊乱,两肺可见较多斑片状模糊影,肺门、纵膈未见增宽。心影增大,心胸比约0.59,主动脉弓可见钙化灶。右膈未见异常,左膈及肋膈角模糊。气管见置管影。(见图1)
图1 2023-10-24 DR检查
2、实验室检查
血气分析:PO2 70mmHg,OI 146.7mmHg。钾3.25mmol/L;肾功能三项:肌酐104.2umol/L,尿素10.36mmol/L;C-反应蛋白375.33mg/L↑。血常规:白细胞计数24.56×10^9/L↑,血红蛋白浓度129g/L,血小板计数273×10^9/L,淋巴细胞百分数4.2%↓,中性粒细胞百分数88.1%↑。
3、微生物检查:
2023-10-24住院时抗生素使用前采集血培养标本。
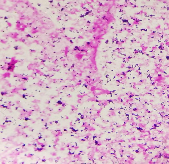
2023-10-25支气管肺泡灌洗液结核菌涂片检查:直接涂片荧光染色镜检未找到抗酸杆菌。支气管肺泡灌洗液一般细菌涂片检查:白细胞>25/LP,上皮细胞<10/LP,鳞状上皮细胞<1%,找到革兰氏阳性球菌1+,革兰氏阴性球菌未找到,革兰氏阳性杆菌未找到,革兰氏阴性杆菌未找到,真菌未找到。血培养报阳,抽取血培养瓶标本转种至血琼脂培养基和含万古霉素的巧克力琼脂培养基培养,直接涂片革兰氏染色镜检:镜下可见革兰阳性短杆菌,见图2。
2023-10-26血平板生长出透明边缘整齐,呈露滴状菌落,有狭窄的β溶血环,见图3,采用基质辅助激光解析电离飞行质谱鉴定为单核细胞增生李斯特菌-9.451分,质谱峰见图4。
图2 2023-10-25血培养涂片镜检
图3 5% CO₂培养24h后菌落形态
图4 单核细胞增生李斯特菌特征性质谱峰图
三、病程与治疗经过
2023-10-24(入院)
主诉:发热3天,乏力加重伴气促、咳脓痰1天。
初始诊断:肺部感染、脓毒症、脓毒性休克、心源性休克、I型呼吸衰竭、多器官功能障碍综合征(MODS)。白血病及骨髓移植术后。
治疗:美罗培南+万古霉素+伏立康唑(覆盖革兰阴性菌、耐药菌及真菌)。
2023-10-26(关键检查)
血培养结果:检出单核细胞增生李斯特菌(美罗培南抗菌谱已覆盖,但未调整抗生素)。
意识状态:停镇静剂20小时仍未清醒(考虑药物代谢延迟)。
2023-10-28(恶化与死亡)
病情进展:持续呼吸机辅助通气,大剂量升压药维持血压。
血栓风险评估:Caprini评分高危(脓毒症、恶性肿瘤、肺炎),PTE-Wells评分中度(心率快、活动性肿瘤)。
死亡时间:16:34呼吸心跳停止,临床死亡。
核心诊断与死因:
直接死因:脓毒症休克、多器官衰竭(MODS)。
感染病原体:单核细胞增生李斯特菌(机会性感染,与免疫抑制相关)。
高危因素:白血病骨髓移植术后(长期免疫抑制)。多药耐药菌及混合感染风险。
四、关键节点分析
1.临床特征与高危因素
患者急性起病,以乏力、发热3天,加重伴气促1天入院,初步诊断脓毒症。曾因慢性粒细胞白血病进行单倍体异基因骨髓联合外周血造血干细胞移植,属于免疫力低下人群,系单核细胞增生李斯特菌的易感人群[3]。
2.感染途径与实验室诊断
病原体溯源机制
单核细胞增生李斯特菌可定植于肠道内,患者因免疫抑制状态导致肠道定植菌入血引发脓毒症。
微生物检测流程
24日入院时采集血培养标本
25日血培养报阳(18.5h)
26日经MALDI-TOF MS鉴定为单核细胞增生李斯特菌
临床沟通记录
26日致电主治医师,建议通过家属访谈确认冷藏食品暴露史。因患者深昏迷且无陪同人员,未能获取有效饮食史信息。
3.药敏检测局限性
现行方法不推荐常规开展李斯特菌属药敏试验[4-6]。
4.治疗决策与效果分析
初始治疗方案:
入院时予伏立康唑+美罗培南+万古霉素联合治疗,虽覆盖单核细胞增生李斯特菌(美罗培南)[7],终因患者免疫缺陷及治疗窗延迟未能改善预后。
抗菌药物循证对比
首选:氨基青霉素(30天病死率12.4%)
替代方案:美罗培南组病死率较氨苄西林组升高18.7%(95%CI 12.4-24.9)[8-9]
5.实验室诊断价值
快速准确鉴定单核细胞增生李斯特菌可缩短靶向治疗延迟时间(本研究为32h),对改善免疫抑制宿主预后具有关键意义。
五、单核细胞增生李斯特菌鉴定方法
1、生物学特性:
革兰氏阳性棒状杆菌、触酶阳性、七叶苷水解试验阳性、分解D-葡萄糖苷酸、VP试验阳性、悬滴法动力观测阳性。由于相似的菌体形态和生化特征,李斯特菌易与其他的革兰氏阳性菌混淆。依据革兰染色的菌体形态、动力、触酶试验,李斯特菌可与链球菌和肠球菌属相区别;依据动力、触酶试验和4℃下生长的特性,李斯特菌属可以与丹毒丝菌属相区别(丹毒丝菌属不能在4℃生长);与乳杆菌属的区别主要是乳杆菌属无运力,触酶反应阴性;依据CAMP试验阳性(CAMP 试验:是鉴定 单核细胞增生李斯特菌或其他李斯特菌的重要实验之一,本菌 CAMP 试验的加强溶血区域不是箭头状而是长方形,应与无乳链球菌的 CAMP 试验相区别。)如图(图5)、D-木糖阴性可属内鉴定单核细胞增生李斯特菌[10]。
如图(图5)CAMP试验(左边为产单核李斯特菌,右边为无乳链球菌。)
关键生化反应的分子机制
形态学诊断陷阱与对策
革兰染色误判:
衰老培养物易脱色呈阴性(需结合年轻菌落复查)
与棒状杆菌的栅栏状排列鉴别:李斯特菌呈"V/Y"型排列(图2)
动力试验要点:
25℃培养时鞭毛基因(flaA)高表达,呈现典型"翻滚运动"。
37℃培养时鞭毛抑制,需用半固体培养基延长观察至48h。
2、自动化鉴定系统的技术原理与选择策略:
(1)主流系统性能对比
技术原理 | 鉴定时间 | 基层适用性 | 局限性 |
比色法+荧光底物 | 6h | ★★★★ | 数据库更新延迟 |
64孔生化反应矩阵+比浊法 | 8h | ★★ | 需配套专用卡匣(成本高昂) |
折光率检测微孔板 | 5h | ★★★ | 对混合菌落敏感性下降 |
(2)基层医院替代方案
通过直接涂片革兰染色,虽然单核细胞增生李斯特菌镜下形态容易和一些链球菌、肠球菌或其它阳性棒状杆菌混淆。
通过触酶试验即可判断是否为链球菌或肠球菌,触酶阳性即可排除链球菌和肠球菌。
再通过CAMP试验进行判断,阳性且溶血区呈长方形样则高度怀疑产单核李斯特菌,但此时依然无法区分单核细胞增生李斯特菌和斯氏李斯特菌。
此时可再进行D-木糖试验,阴性则为单核细胞增生李斯特菌阳性则为斯氏李斯特菌。如使用天地人的TDR-300P+鉴定系统可使用TDR CB-96鉴定板进行鉴定;商品化微量生化鉴定试剂可直接选用相应的鉴定试剂进行鉴定。
鉴定流程如下:
3、质谱技术的革新进展
(1)MALDI-TOF MS优化方案
前处理改良
乙醇-甲酸提取法:提升特征峰强度(m/z 6428、4365);
添加2,5-DHB基质:增强磷脂酶C信号捕获。
基层医院替代数据库
建立区域性菌株参考谱库(覆盖马氏李斯特菌等干扰菌);
使用ClinProTools™软件进行峰型比对(灵敏度提升30%)。
(2)质谱误诊案例分析
假阳性风险:马氏李斯特菌(98.7%谱相似度)需结合溶血试验排除;
假阴性对策:低菌量样本(<10^4 CFU)需预增菌6h。
4、分子诊断技术的精准化突破
(1)多靶点检测体系
靶基因 | 检测技术 | 鉴别价值 |
hly | 实时荧光PCR | 特异性99.3%(单核李斯特菌特有) |
inlA | CRISPR-Cas12a | 区分致病株(inlA+)与环境株 |
prs | LAMP | 基层快速筛查(1h内完成) |
(2)探针法的质量管控
采用双探针(hly+prfA)降低马氏李斯特菌假阳性;
PNAC(肽核酸)探针:穿透生物膜检测活菌(灵敏度达10^2 CFU/mL)。
六、总结
1、想要准确地鉴定单核细胞增生李斯特菌,根据生物学特性或使用商品化微量生化鉴定试剂、使用鉴定仪鉴定都需要检验员对该菌非常熟悉,一旦选择了错误的鉴定试剂或鉴定条、鉴定卡,就必定会获得一个错误的鉴定结果。使用质谱仪对检验员理论知识和形态学的掌握要求略低。
2、基层医院很难像三级医院普及使用质谱仪或法国梅里埃的Vitek 2 系统,因此基层医院在没有质谱仪或Vitek 2 系统等先进鉴定手段时可根据科室实际情况备用一些相应试剂并根据以下方法进行鉴定:
①通过直接涂片革兰染色,虽然单核细胞增生李斯特菌镜下形态容易和一些链球菌或肠球菌混淆。
②通过触酶试验即可判断是否为链球菌或肠球菌,触酶阳性即可排除链球菌和肠球菌。
③再通过CAMP试验进行判断,阳性且溶血区呈长方形样则高度怀疑产单核李斯特菌,但此时依然无法区分单核细胞增生李斯特菌和斯氏李斯特菌。
④此时可再进行D-木糖试验,阴性则为单核细胞增生李斯特菌,阳性则为斯氏李斯特菌。如使用天地人的TDR-300P+鉴定系统可使用TDR CB-96鉴定板进行鉴定;商品化微量生化鉴定试剂可直接选用相应的鉴定试剂进行鉴定。
3、不论使用哪种方法进行鉴定,检验员均需要熟悉单核细胞增生李斯特菌的菌落形态、镜下形态。在鉴定出单核细胞增生李斯特菌时能从形态学及生物学特性来判断鉴定结果的准确性。
4、该菌致病性强,感染后死亡率高,基层实验室应准备相应的方法对该菌进行鉴定,而不能因为该菌的检出率低而不引起重视。
