2026-04-10 17:17
作者 孙凌霄
京港感染论坛
智驱融合:重构感染诊疗新范式
惠普尔养障体,一种革兰阳性放线菌,是导致罕见疾病——惠普尔病的元凶。感染该菌后,大多数人依靠体液免疫和细胞免疫保持无症状或仅经历自限性感染,仅有少数患者会发展为惠普尔病。后者以关节疾病、体重减轻、腹部不适和腹泻为主要表现,而肺部受累则是其罕见但特征性的表现之一。值得注意的是,惠普尔养障体不仅存在于无症状携带者的唾液中,可与口腔菌群共同引发吸入性肺炎,甚至在健康个体的肺部也可定植。然而,从呼吸道检出该菌究竟意味着感染还是定植?这一直是临床亟待解答的问题。
近日,《International Journal of Infectious Diseases》(Q1,IF 4.5)发表题为《Clinical Experience with Metagenomic Next-Generation Sequencing (mNGS) for the Detection of Tropheryma Whipplei in Respiratory Specimens: A Multicenter Retrospective Observational Study》研究给出了重要线索。该研究由北京大学人民医院王辉教授团队领衔,数据来自北京大学人民医院和中日友好医院,系统回顾了2021年4月至2024年7月期间91例支气管肺泡灌洗液惠普尔养障体阳性患者的临床资料。
一、研究设计及临床信息
该研究共纳入91名患者的91个支气管肺泡灌洗液标本,在91名患者(年龄25-82岁,平均57岁;48%为男性)中(表1),常见症状包括咳嗽(60%)、咳痰(48%)、呼吸困难(42%)和发热(30%)(表2)。值得注意的是,高达22%的患者无任何临床症状,仅在常规体检中通过影像学检查偶然发现肺部异常。另有22%的患者既往患有间质性肺病,16%的患者存在免疫功能低下,30%的患者有药物、花粉或食物过敏史。
最关键的是,经过严格诊断,仅14名(15%)患者临床诊断为惠普尔养障体肺炎,其余77名(85%)被判定为单纯定植。
表1 下呼吸道标本惠普尔菌阳性患者的人口学特征及基础疾病
表2 下呼吸道标本惠普尔菌阳性患者的临床特征及实验室检查
二、单一感染与混合感染并存
在39例(43%)标本中,惠普尔养障体被鉴定为唯一病原体(表3)。而在混合感染中,最常见的“搭档”是EB病毒(9%)和肺炎克雷伯菌(8%)。值得注意的是,各有5例(5%)同时检出了结核分枝杆菌复合群或非结核分枝杆菌。这提示临床医生,检出惠普尔养障体时,需警惕混合病原感染/定植可能。
表3 mNGS检出病原
三、mNGS与qPCR结果
肺炎病例中的惠普尔养障体mNGS序列数显著高于定植病例(P=0.0298)(图1)。对70例病例的qPCR检测显示,49例阳性,21例阴性。qPCR阳性样本中的mNGS序列数显著高于阴性样本(P<0.0001)(图2)。
图1 惠普尔养障体肺炎患者与携带者的mNGS序列数比较;图2 惠普尔养障体PCR阳性标本和阴性标本的mNGS序列数比较
四、影像学特征表现多样
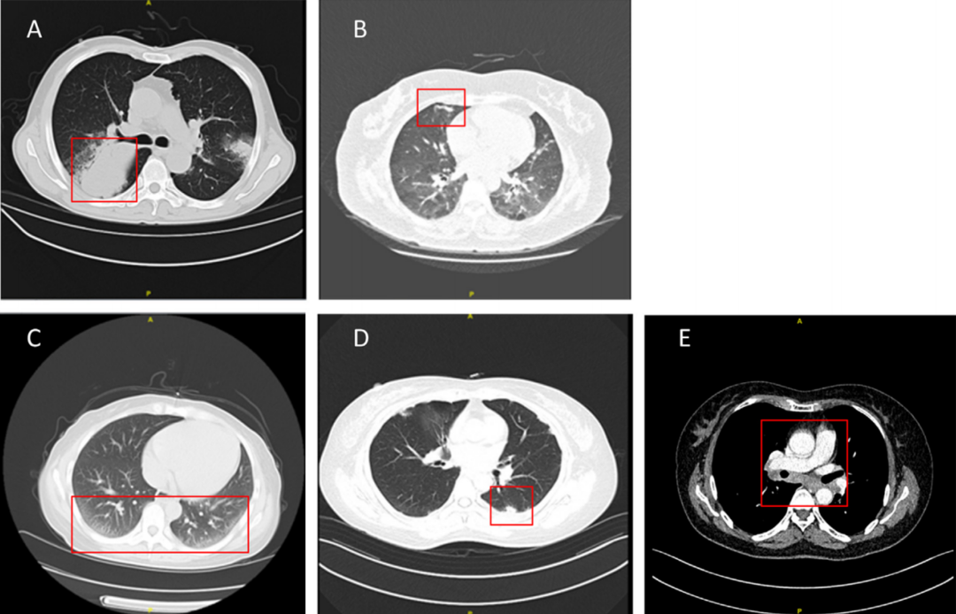
惠普尔养障体阳性患者的影像学表现呈现多样化特征,其中最常见的类型依次为结节(54%)、斑片影(52%)、磨玻璃影(35%)和肿块(24%)(表4)。肺炎患者的代表性影像学表现总结于图3。这种影像学上的多样性使得该病难以仅凭影像学特征与普通肺炎相鉴别,这也是其易被误诊或漏诊的重要原因之一。
表4 下呼吸道标本惠普尔菌阳性患者的影像学表现
图3 惠普尔养障体肺炎的影像学表现,包括肿块(A)、斑片影(B)、磨玻璃影(C)、结节(D)及纵隔淋巴结肿大(E)。
五、病理学提示PAS染色多为阴性
在14例肺炎患者中,仅2例进行了肺活检。一例表现为支气管黏膜内上皮样肉芽肿性炎症,但PAS染色阴性;另一例表现为小气道内可见小叶中心性炭末沉积,伴少量淋巴细胞浸润;间质组织内可见散在淋巴细胞浸润,伴有局灶性淋巴细胞聚集;肺泡腔内可见少量淋巴细胞聚集;肺泡间隔未见增厚迹象;PAS染色结果为阴性。在36例定植者的肺活检标本中,7例PAS染色全部阴性,而29例未行PAS染色的标本中,有9例被证实存在癌症。
六、治疗与预后
所有14例肺炎患者均接受了针对性抗生素治疗,方案包括米诺环素联合羟氯喹、阿莫西林联合磺胺甲噁唑、哌拉西林-他唑巴坦及头孢类抗生素等。13例患者康复出院,随访治疗有效,并未发生复发,1例死于呼吸衰竭。
七、展望
本研究是目前规模最大的惠普尔养障体呼吸道检出研究,且通过qPCR验证,为临床实践提供了宝贵数据,提醒临床避免仅因mNGS检出惠普尔养障体即诊断治疗,绝大多数惠普尔养障体检出仅为定植。未来需开展前瞻性研究,以优化治疗方案、评估远期预后,让更多患者从精准诊疗中获益。
北京大学人民医院检验科孙凌霄、中日医院呼吸与危重症医学科王一民为本文共同第一作者。王辉教授为本文通讯作者。
孙凌霄
医学博士,毕业于首都医科大学内科学呼吸系病专业,师从曹彬教授。2021年起工作于北京大学人民医院检验科。主要研究方向:临床微生物学和细菌耐药机制研究,以第一作者或并列第一作者发表SCI论文多篇。
END
作者|孙凌霄(北京大学人民医院)
审校|谢轶(四川大学华西医院)
