2018-10-12 13:35
作者 乔亚珍 吴小静



【病情介绍】
患者68岁女性,因“间断乏力伴血肌酐升高2月”于2016年11月诊断为“ANCA相关性血管炎、小血管炎肾损害”,给予甲泼尼龙片(40mg qd)和环磷酰胺治疗,2017年4月20日停用环磷酰胺。继续口服激素治疗。5月11日患者因咳嗽咯痰伴发热就诊,查胸部CT(图1-1)





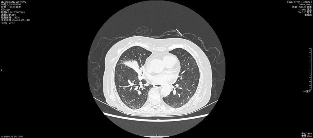
2017年7月6日患者再次因发热入院,胸部CT再次发现右肺中叶实变影,病原学结果:痰涂片可见大量阴性杆菌,痰细菌培养结果为为大肠埃希菌,气管镜肺泡灌洗液细菌培养为铜绿假单胞菌,依据药敏结果给予哌拉西林他唑巴坦治疗后好转。




住院期间(2017年7月21日)患者出现咳嗽咯痰加重,伴白细胞升高、呼吸功能衰竭、代谢性酸中毒、电解质紊乱,胸部CT提示左肺下叶新出现渗出影伴双侧胸腔积液。(图1-3)




| 日期 | 激素用量 | 病原学结果 | 抗菌药物 | 
| 2016年11月 | 甲泼尼龙片 40mg qd | ||
| 2017年5月18日 | 甲泼尼龙片 30mg qd | 卡氏肺孢子菌+烟曲霉+巨细胞病毒 | 联璜甲氧苄啶+伏立康唑+更昔洛韦 | 
| 2017年7月6日 | 甲泼尼龙片 30mg qd | 痰培养:大肠埃希菌;BALF:铜绿假单胞菌 | 哌拉西林他唑巴坦 | 
| 2017年7月21日 | 甲泼尼龙片 30mg qd | 碳青霉烯耐药的肺炎克雷白菌 | 替加环素+美罗培南 | 
讨论:
01
激素对机体免疫功能的影响
糖皮质激素具有强大的抗炎作用,能抑制多种原因造成的炎症反应,包括物理性,化学性,免疫性及病原生物性等所引起的炎症反应。由于激素强大的抗炎作用和免疫抑制作用,在自身免疫性疾病中具有不可替代的地位。但糖皮质激素在发挥治疗作用的同时,对人体的免疫过程的多个环节有抑制作用,小剂量糖皮质激素主要抑制细胞免疫,大剂量则能够抑制由B细胞转化成浆细胞的过程,减少抗体生成,干扰细胞免疫[1]。
该患者自2016年11月诊断ANCA相关性血管炎后,一直大剂量激素治疗,本次入院后患者的淋巴细胞计数持续维持在很低的水平,CD4+细胞持续<100cell/ul,提示患者存在严重的免疫功能缺陷。有研究者观察激素治疗并发重症肺部感染患者的临床分析,发现在11例患者中,使用大剂量糖皮质激素治疗8周后,原发疾病得到控制,但在第13-15周时全部并发了严重的肺部感染,这些患者的体液免疫检查示血清 IgG、IgM 正常,而细胞免疫功能低下,外周血淋巴细胞总数偏低(538.8±165.5/微升) ,其中 CD4 + T 淋巴细胞计数明显减低,为133.3±45.4个/微升[2]。
02
感染与激素的关系
正常机体依靠强大的免疫功能抵御外来病原微生物的感染。糖皮质激素通过抑制人体的细胞免疫,使机体的防御功能降低。大剂量糖皮质激素导致细胞免疫功能受损,主要表现为外周血淋巴细胞计数减少,T淋巴细胞亚群检测CD4淋巴细胞<500/uL,并发肺部感染的病原学以结核、真菌(肺孢子菌、曲霉菌、毛霉菌)、细菌、病毒(巨细胞病毒)最为常见,混合感染并不少见。激素并发感染的风险与剂量及治疗持续时间有关。
Yale 和 Limper[3]报道90%的非HIV感染患者在诊断肺孢子菌肺炎的1月前曾使用激素,其等效剂量相当于泼尼松30 mg /d 以上,且其中25%患者激素疗程在8周以上。Stuck 等[4]对71项随机对照试验的荟萃分析提示,长期应用糖皮质激素患者感染并发症发生率12.7%,对照组为 8%; 激素(以泼尼松为例)用量≥10mg /d,累积剂量超过700mg,感染的发生率就明显上升,且条件致病菌的感染率大大超过非激素治疗者。
回顾本例,该老年患者应用激素期间,第一次肺部感染为巨细胞病毒、肺孢子菌和曲霉菌感染,经过初始治疗后症状好转,感染控制,但是患者的免疫功能并没有得到修复。由于原发病治疗不理想(肾脏损害无改善),激素剂量始终维持在30-40mg/d,因此导致患者淋巴细胞计数持续维持在较低水平,给再次感染埋下隐患。
03
不同阶段不同病原学的处理策略
该患者自2016年11月诊断为ANCA相关性血管炎后开始使用激素治疗,长期口服泼尼松片30mg,至2017年5月,并发了巨细胞病毒、肺孢子菌和曲霉菌感染,给予联磺甲氧苄啶+伏立康唑+更昔洛韦治疗后症状好转,感染控制,但是患者的免疫功能并没有得到修复。由于原发病的难以控制,激素剂量始终维持在30-40mg/d,因此导致患者淋巴细胞计数持续维持在较低水平,给再次感染埋下隐患。
患者末次入院初始病原学为铜绿假单胞菌和大肠埃希菌,给予了哌拉西林他唑巴坦治疗后有效。值得注意的是,患者入院时BALF中副流感病毒核酸检测阳性,副流感病毒(Parainfluenza viruses,PIV)是社区获得性肺炎重要的病原体之一,尤其是在儿童中常见。对于患有严重基础疾病的患者,副流感病毒也是重要的致病病原,目前尚没有有效的药物。
Sahar Essay 回顾了2013年至2015年间入住Mubarak Al-Kabeer医院儿科ICU和成人ICU的1510例患者,从中提取病原学检出副流感病毒的患者39例,最常见的为副流感病毒3型(PIV3),其次为副流感病毒1型(PIV1)。副流感病毒是导致呼吸道感染入院的重要原因之一,对于免疫功能受损的患者,副流感病毒常常导致严重的并发症和不好的临床预后[5]。由于国内目前没有针对副流感病毒的有效药物,在患者的治疗过程中并没有对此做针对性处理。回顾性思考患者的临床过程,副流感病毒在该患者的病程中可能充当了帮凶的角色,预示了后期更加严重的感染。
患者入院最初的感染病原学是铜绿假单胞菌和大肠埃希菌,药敏结果对哌拉西林他唑巴坦是敏感的,初始治疗是有效的。但由于激素长期大量使用、反复肺部感染,治疗过程中出现上消化道出血,虽然及时给予了禁食水,积极输血、补液、静脉营养治疗,但患者的一般状态迅速恶化。肠道功能失调,肠道屏障功能丧失,菌群移位,患者很快出现了院内感染,病原学证实为耐碳青霉烯的肺炎克雷伯菌,仅对替加环素敏感,同时患者合并了严重的呼吸衰竭、肝肾功能衰竭、心功能不全、代谢性酸中毒、电解质紊乱,及早使用替加环素也未能挽回患者生命。
04
个人体会
糖皮质激素长期使用导致的免疫抑制增加患者的感染风险,对于需要使用糖皮质激素治疗的患者,及时评估患者的病情,撤减激素用量,使患者的免疫功能得到重建修复,是减少感染风险的重要措施之一。当已经发生了严重的多重感染,及时减少或停用激素,同时在充分病原学指导下的合理抗菌药物选择,以及各器官功能支持是治疗成功的关键。在该患者整个治疗过程中,微生物诊断是明确的,抗生素的选择是合理的,但是治疗结果不理想,最根本的原因可能是忽视了患者自身的免疫功能恢复,亦或是对患者连续出现的脏器功能衰竭缺乏早期认识。
当然,感染与免疫的话题争论不休,临床病例越来越多,亟需我们的临床研究者在免疫缺陷患者感染问题给予更大的关注,期待更多更好的临床研究结果为我们呈现优质的临床证据。
参考文献:
1、人民卫生出版社,药理学,第八版,肾上腺皮质激素类药物,P704-709
2、桂兰兰,何群鹏,许书添,等.激素治疗并发重症肺部感染患者的临床分析.肾脏病与透析肾移植杂志. 2012,21(6):501-506
3、Yale SH,Limper AH. Pneumocystis carinii pneumonia in patientswithout acquired immunodeficiency syndrome: associated illness and prior corticosteroid therapy. Mayo Clin Proc,1996,71( 1) : 5 - 13.
4、Stuck AE,Minder CE,Frey FJ. Risk of infectious complications in patients taking glucocorticosteroids. Rev Infect Dis,1989,11( 6) : 954 -963.
5、Sahar Essa, Haya Al-tawalah, Sarah AlShamali Widad Al-Nakib. The potential influence of human parainfluenza viruses detected during hospitalization among critically ill patients in Kuwait, 2013–2015.Essa et al. Virology Journal.2017,14(19)
作者:乔亚珍 天津中医药大学第一附属医院
吴小静 中日医院呼吸与危重症医学科
审阅评析:王一民 曹彬 中日友好医院

“ 因为热爱所以坚持,因为相信所以自信”
“坚持原创、追求学术、倡导合作、注重普及”
特别提示
一、会议时间和地点:
报到时间:
2018年11月22日9:00-22:00,
11月 23日08:00-12:00
会议时间:
2018年11月22-24日
报到地点:
北京昆泰酒店 北京朝阳区望京启阳路2号
二、重要日期:
    征文投稿截止日期延长至:2018年10月9日
    优惠注册截止日期:2018年11月15日
    网上注册截至日期:2018年11月20日
    网上住宿预定截至:2018年11月15日

 
                    