2018-12-06 21:24
作者 京港感染论坛

责任编辑:曹彬 王一民
吸入性肺脓肿
发生于右肺下叶背段和外后基底段的“肺炎”需要警惕吸入性因素,除酗酒、意识障碍、脑血管疾病所致球麻痹等因素外,牙周疾病、近期牙科手术史亦是容易被忽略的重要吸入因素。吸入性因素常致多种细菌混合感染,导致肺脓肿发生。肺脓肿的治疗除有效的抗生素外,积极、充分的引流尤为重要。现分享1例经典吸入性肺脓肿患者的诊治经过。
患者中年男性,因“咳嗽、咳痰20天,胸闷憋气9天,伴胸痛、发热4天”于2016年12月26日入院。患者20天前出现咳嗽、咳黄粘痰,伴剑突下不适,静脉应用“头孢类抗生素(具体不详)”3天,咳嗽咳痰好转后停用。9天前出现胸闷、憋气,活动后加重,肺CT示右下肺阴影(图1),应用“阿奇霉素”5天,症状无明显好转。4天前患者出现右侧胸痛,咳嗽及深呼吸时明显,复查肺CT(图2)示右下肺阴影较前进展,且出现右侧胸腔积液,并出现发热,体温最高38.4℃,化验血常规:白细胞计数9.47×109/L,中性粒细胞比率83.2%,血红蛋白125g/L,血小板265×109/L;CRP142mg/L; PCT2.22ng/mL。于当地住院治疗,静脉应用“左氧氟沙星 600mg Qd静滴”抗感染治疗3天,体温仍高,为进一步诊治收入我院呼吸二部。
既往“糖尿病史”6年,未规律诊治 。
入院查体:T 37.7℃,P 112次/分,R 22次/分,Bp 114/78mmHg。神志清,口唇无紫绀,右下肺叩浊音,听诊呼吸音低,双肺未闻及干湿性啰音,心率112次/分,律齐,腹软,无压痛,反跳痛,双下肢无水肿。
辅助检查:

图1.2016年12月17日胸部CT


图2.2016年12月22日胸部CT
2016年12月22日胸部CT:右肺下叶可见团片影,大小约4.1cm×4.2cm,较2016年12月17日病变略增大,右侧胸腔积液,右侧胸膜肥厚。
入院诊断:1.右侧肺炎并肺炎旁积液 2型糖尿病。
入院后完善相关辅助检查,血常规示白细胞总数8.92×10^9/L、中性粒细胞百分数86.2%、血红蛋白120g/L、血小板259×10^9/L;红细胞沉降率84mm/h; 降钙素原1.4ng/ml; 生化示葡萄糖16.03mmol/L,肝肾功能电解质大致正常 ;
初步考虑社区获得性下呼吸道感染。追问病史,患者发病前1月有拔牙及假牙安装病史,平日口腔卫生不洁,查体局部牙龈肿胀,溢脓,表面可见牙菌斑(图3), 考虑不除外厌氧菌感染,给予头孢西丁2.0静滴Q8h 联合替硝唑0.4静滴Qd抗感染、胰岛素控制血糖及对症治疗。


图3.口腔查体可见牙菌斑、牙龈溢脓
入院当日行床旁B超检查示右侧胸腔积液量少,穿刺困难,于2016-12-27行气管镜检查示各叶段支气管粘膜充血、水肿,于右肺下叶后段及右中叶行支气管肺泡灌洗(图4)。图4.支气管镜检查结果
灌洗液细菌及真菌培养阴性,灌洗液肺炎支原体、衣原体核酸检测阴性;灌洗液结核分枝杆菌鉴定及耐药点检测阴性。于2016-12-28行B超引导下行经皮肺活检及胸腔穿刺抽液检查,送检病原学及组织病理。
患者于2016-12-29出现呼吸困难加重, 尿量减少,查血气分析示PH7.44,氧分压49mmHg,二氧化碳分压42.4mmHg,氧饱和度85%,碳酸氢根28.1mmol/L,急查胸部CT示右肺脓肿及脓腔明显进展,可见气液平,张力较大,上下脓腔不相通(图5)。




图5.2016年12月29日胸部CT
给予行急诊B超引导下右肺脓肿穿刺置管引流术,分别引流上、下脓腔,引流出大量深黄色脓性液体(图6)。


图6.B超引导下右肺脓肿穿刺引流
升级抗生素为亚胺培南西司他丁0.5g静点Q6h,积极补液及对症治疗,患者体温渐下降至正常,胸闷憋气减轻。胸腔穿刺液病原学回报:涂片示G+球菌成链大量,G+杆菌少量,未见真菌孢子及假丝,培养后分离出4种细菌,其中两种厌氧菌为微小微单胞菌(图7)和口炎消化链球菌(图8),两种需氧菌为缓症链球菌和口腔链球菌;肺脓肿穿刺液培养为微小微单胞菌。肺组织病理结果回示:肺组织肺泡间隔增宽,中性粒细胞、淋巴细胞浸润,以中性粒细胞浸润为主,伴炎性渗出及及肺泡上皮细胞细胞增生,形态学不除外急性感染性病变(图9)。


图7.微小微单胞菌


图8.口炎消化链球菌

图9.肺穿刺病理
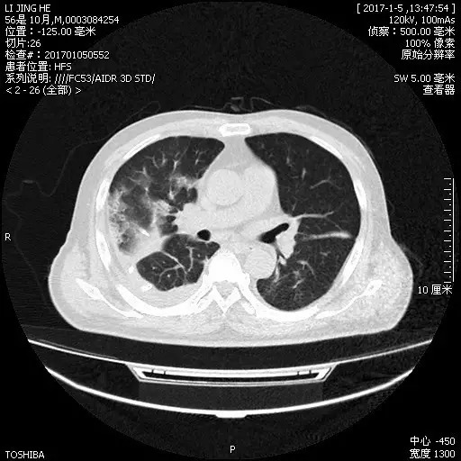
经抗感染治疗后,复查肺CT示肺部病变较前好转(图10)




图10.2017年1月5日胸部CT
于2017-01-10拔除引流管,于2017-01-12抗生素降阶梯为头孢西丁2.0静滴Q8h联合替硝唑0.4静滴Qd,患者病情好转出院。2017-03-10门诊复查胸部CT示肺内渗出及右侧胸腔积液较前进一步吸收(图11)。

图11.2017年3月10日胸部CT
出院诊断:
肺脓肿
脓胸
Ⅰ型呼吸衰竭
2型糖尿病
讨论:
由于肺部解剖部位和患者体位关系,吸入性肺脓肿多发于上叶的后段, 下叶的背段和基底段,其病原菌常是 2~ 3 种细菌混合性感染。有需养菌菌和厌氧菌不同比例吸人,以厌氧菌为主。本患者存在糖尿病基础疾病,发病前发病前拔牙及假牙安装病史,平日口腔卫生不洁,查体局部牙龈肿胀,溢脓,表面可见牙菌斑,虽无酗酒及意识障碍,但仍有吸入感染危险因素,且胸水培养出多种细菌,均为口腔牙周感染常见病原体。其中,微小微单胞菌是口腔中最常见的革兰阳性专性厌氧球菌之一,菌细胞呈球形,直径0.3-0.7微米,成对或链状排列。微小微单胞菌是公认的牙周炎主要可疑致病菌,亦有报道该菌还可参与全身的化脓性感染和口腔颌面部的厌氧菌感染,如肝脓肿,肺脓肿,根尖周炎及冠周炎等。此患者入院时通过详细询问病史和查体我们已考虑到有厌氧菌感染,抗菌谱已覆盖厌氧菌,力度也足够,但病情仍出现进展,出现呼吸衰竭及脓毒症早期征象,直至置管引流后病情方好转。因此对于肺脓肿而言,抗生素治疗很重要,但充分引流更为重要,这样才能控制临床中毒症状。同时,尽一切可能获取病原学诊断是由经验治疗到靶向治疗的关键。对于有高吸入风险的人群,应采取措施减少吸入性肺脓肿的风险,如避免酗酒,尽量减少卧床时间,如卧床尽量半卧位,增加咳嗽和吞咽,减少镇静剂使用,避免意识障碍加深,保持口腔卫生等,糖尿病人应控制血糖等,预防吸入性肺脓肿的发生尤为重要。
供稿者
郭彩宏
青岛大学附属医院进修医生
崔晓敬范艳艳 刘颖梅 黎斌斌 曹彬
中日医院呼吸中心呼吸与危重症医学科二部临床微生物与感染实验室)
于明安
中日医院超声介入治疗科

以上文章为京港感染论坛独家编辑,转载需要获得许可,并标明来源,投稿热线:pidmic@126.com。

