2018-12-06 21:25
作者 青岛市市立医院 刘学东刘菁魏风芹
责任编辑:曹彬 刘学东
貌似肺炎的原发性肺淋巴瘤
刘学东 刘菁 魏风芹
青岛市市立医院 本部呼吸科
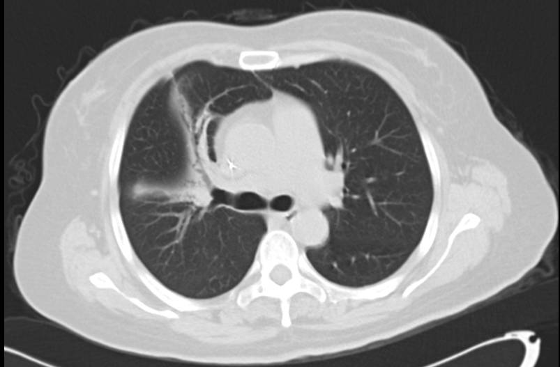
患者女性,50岁.因右侧胸痛1年余,加重伴间断发热10天入院。无咳嗽咳痰,无咯血,无胸闷憋气。查体:右侧语颤增强,右肺叩诊呈实音,可闻及干湿性罗音.既往有宫颈囊肿、中度贫血。肺CT示右肺大片密实影(图1),内有支气管充气征,院外诊断为肺炎,反复应用多种抗生素无效,拟诊“肺炎,浸润性肺腺癌?”收治入院。
图1 肺CT:右肺上叶见大片高密度影,内含支气管征,气管、支气管通畅。纵膈内未见明显肿大淋巴结。

入院后查体阳性体征:右肺可闻及湿性啰音;化验检查血白细胞及中性粒细胞、PCT均在正常范围;肺CT示右上肺大片高密度影,内有完整的支气管充气征(符合典型的CAP的影像学特点),因患者院外应用覆盖到肺炎链球菌、非典型病原体等社区感染的常见病原体的抗生素,属于治疗失败的CAP,而且患者既往身体健康,所以我们未用任何抗生素,把明确诊断放在第一要务,给患者行支气管镜检查:气管及支气管粘膜光滑,各管腔通畅,未见占位,但特殊之处是右上叶支气管粘膜明显苍白(此点与肺炎引起粘膜充血症像不相符),粘膜光滑完整,右上叶前端间嵴稍增宽(图2),于此处行粘膜活检,病理报告:小细胞淋巴瘤CK(+)CD20(+)CD10(-)CD56(-)Bcl-2(-)LCA(+)CD5(-)Ki-67(<5%+)。诊断肺粘膜相关性小细胞淋巴瘤明确。
图2 支气管镜表现:右肺上叶前段a支粘膜明显苍白,但粘膜完整,间嵴增厚,各管腔通畅,未见占位,在此处行支气管肺泡灌洗和粘膜活检,可见较多泡沫样痰。

转归:转入我院血液科行4周期化疗,病灶明显缩小。(图3)
图3 肺CT(2013-07-05):右肺上叶斑片影较前明显缩小,气管支气管通畅,纵膈无肿大淋巴结;

收获
原发性肺淋巴瘤(Primary pulmonary lymphoma,PPL)是一种罕见的起源于淋巴结或淋巴结外淋巴组织的恶性肿瘤,占原发性肺肿瘤0.5%[1,2],并仅占结外淋巴瘤3.6%[3]。患者在诊断时及或在随后的3个月,无肺外肺实质或支气管淋巴瘤,仅有肺部淋巴侵犯而不伴纵隔肺门及其他部位淋巴瘤的才称为PPL。最常见的亚型是粘膜相关淋巴组织(MALT)淋巴瘤,也称结外边缘区B细胞淋巴瘤(MZL),在报告病例的比例高达90%[4],其次为弥漫性大B细胞淋巴瘤(DLBCL)和间变性大细胞淋巴瘤(ALCL)[5]。肺是MALT淋巴瘤最常见的非胃肠道发生部位之一[6,7]。结外边缘区B细胞淋巴瘤(MZL)占所有原发性肺肿瘤的<0.5%,但超过三分之二的原发性肺非霍奇金淋巴瘤(NHL)是结外MZL[8-10]。肺MALT型结外边缘区B细胞淋巴瘤(MALT-MZL)没有明显的症状,因此,该疾病通常在常规胸部X线中被发现[11]。由于肺MALT-MZL的非特异性临床表现,在临床中经常误诊。
慢性炎症、抽烟及自身免疫性疾病等是PPL的危险因素。发病高峰60~70岁,男女比例接近1:1,无特征性症状和体征,约36%患者在确诊时无症状。最常见的症状包括咳嗽和胸痛,以及劳累性呼吸困难,疲劳,体重减轻,发热和盗汗,有时会出现痰中带血[12,13]。实验室检查经常显示贫血,血小板减少症和LDH水平升高。还观察到C-反应蛋白、红细胞沉降速率和单克隆免疫球蛋白(Ig)升高。PPL的诊断标准为:有明确的病理组织学诊断;影像学无明显纵隔或肺门淋巴结肿大,无肺及支气管外其他部位淋巴瘤的证据;确诊后3月内无肺和支气管外组织或器官淋巴瘤。
PET-CT在诊断原发性肺淋巴瘤方面的有效性有限。其敏感性取决于疾病的位置和阶段。 18F-FDG PET SUV值通常<5。在约80%的患者中观察到有限的摄取,约20%的患者中没有摄取。故通过支气管镜检查,针吸活检或开胸手术获得标本是确诊金标准。支气管镜检查是肺部疾病诊断检查中常用方法,但在临床实践中对PPL诊断的阳性率偏低,这可能与肺淋巴瘤起源于支气管粘膜下组织及动静脉周围的淋巴组织,沿淋巴管呈浸润性生长,对支气管内膜侵犯较少,支气管镜下没有狭窄、新生物等特殊改变有关,可以表现为完整的支气管粘膜,不易引起操作医师的重视,导致未取活检,造成了漏诊,降低了阳性率。如果支气管镜下粘膜呈现苍白、粘膜粗糙、肥厚等不符合急性炎症的镜下表现时,应行粘膜活检提高诊断阳性率。此外如果支气管肺泡灌洗中淋巴细胞> 20%,尤其当超过10%的淋巴细胞是B淋巴细胞时(特别是与克隆基因重排)[14],对诊断肺淋巴瘤也有阳性意义。

参考文献
[1]Miller DL, Allen MS. Rare pulmonary neoplasms.Mayo Clin Proc 1993;68:492-498.
[2]KocaturK cI, Seyhan ec, GunluoGlu MZ, urer n, KaynaK K, DIncer SI, BeDIrhan Ma. Primary pulmonary non-Hodgkin’s lymphoma: ten cases with a review of the literature. Tuberk Toraks 2012; 60: 246-253.
[3]Freeman C,Berg JW, Curler SJ. Occurrence and prognosis of extra-nodal lymphomas. Cancer 1972;29:252-260.
[4]KuBISa B, BochenSKa a, PIotrowSKa M, Dec P, leSInSKa a, KuBISa a, wojcIK j, PIeroG j, GroDZKI t. Primary pulmonary mucosa-associated lymphoid tissue lymphoma: a case report. Pneumonol Alergol Pol 2015; 83: 45-49.
[5]raDerer M, StreuBel B, woehrer S, PueSPoeK a, jaeGer u, ForManeK M, chott a. High relapse rate in patients with MALT lymphoma warrants lifelong follow-up. Clin Cancer Res 2005; 11: 3349-3352.
[6]Zucca E, Conconi A, Pedrinis E, et al. Nongastric marginal zone B-cell lymphoma of mucosa-associated lymphoid tissue. Blood. 2003; 101: 2489–2495.
[7]Jaffe ES, Harris NL, Stein H, Vardiman JW, editors. Pathology and Genetics of Tumours of Haematopoietic and Lymphoid Tissues. IARC Press; Lyon: 2001. World Health Organization Classification of Tumours; pp. 171–181.
[8]Ahmed S, Siddiqui AK, Rai KR. Low-grade B-cell bronchial associated lymphoid tissue (BALT) lymphoma. Cancer Invest. 2002;20:1059–1068.
[9]Koss MN. Malignant and benign lymphoid lesions of the lung. Ann Diagn Pathol.2004;8:167–187.
[10]Travis WD, Brambilla E, Müller-Hermelink HK, Harris CC, editors. Pathology and Genetics of Tumours of the Lung, Pleura, Thymus and Heart. 3rd. IARC Press; Lyon: 2004. World Health Organization Classification of Tumours; pp. 95–98.
[11]Cordier JF, Chailleux E, Lauque D, et al. Primary pulmonary lymphomas. A clinical study of 70 cases in nonimmunocompromised patients. Chest. 1993; 103:201–208.
[12]huanG h, lu Zw, jIanG cG, lI j, Xu K, Xu Zj. Clinical and prognostic characteristics of pulmonary mucosa-associated lymphoid tissue lymphoma: a retrospective analysis of 23 cases in a Chinese population. Chin Med J 2011; 124: 1026-1030.
[13]A. NAHORECKI1, M. CHABOWSKI2,3, E. STRASZAK4,ET AL. Primary pulmonary MALT lymphoma – case report and literature overview. European Review for Medical and Pharmacological Sciences. 2016; 20: 2065-2069.
[14]CADranel j, wISleZ M, antoIne M. Primary pulmonary lymphoma. Eur Respir J 2002; 20: 750-762

结论
原发性肺淋巴瘤是罕见的肿瘤。临床表现不典型,通过活检和组织病理学检查证实诊断,并且对化疗和/或手术具有良好的反应,生存率高。应提高呼吸科医生对本病的认识,减少误诊率,提高活检阳性率,早诊断早治疗。

以上文章为京港感染论坛独家编辑,转载需要获得许可,并标明来源,投稿热线:pidmic@126.com。

封面图片来源于网络,如有侵权,请联系删除。



