2019-11-29 17:54
作者 刘剑 李颖

中日友好医院中医肺病一部 刘剑 李颖
患者陈某某,男,54岁,主因“反复喘憋近30余年,加重伴发热、咳嗽12天”以“肺部感染”于2018年12月08日收入院。
患者30余年来反复出现喘憋,偶有咳嗽咳痰发作,曾诊断为“支气管哮喘”,未使用吸入药物控制,每年输注10余次地塞米松控制,每次3-5天(具体用量不详)。12天前(2018年11月26日)喘憋加重,夜间喘憋明显,活动后明显加重,伴发热,最高体温38.8℃,咳嗽咳痰,痰色白量多,就诊于某区属医院,查胸部CT示:双肺支气管扩张合并感染,肺炎,胸腔积液(见图1);肺炎支原体抗体阳性,,予左氧氟沙星联合哌拉西林舒巴坦静点抗感染,氨溴索化痰,多索茶碱平喘治疗,患者体温恢复正常。12月06日再次发热,体温38℃左右,咳灰痰,复查胸部CT提示肺内感染较前加重(见图2)。入院症见:喘憋,活动后加重,可平卧,时有咳嗽咳痰,痰色白量少,发热,体温38.5℃,无恶寒寒战,无恶心呕吐,右肩、右侧1、3掌指关节及近端指间关节、左腕肿痛,进食一般,睡眠差。
既往游走性多关节肿痛1年,自双膝起病,后逐渐累及双肩、双肘、双腕、双侧掌指关节及近端指尖关节,无明显晨僵,症状3-5天可缓解,2018年05月于密云区医院诊断为类风湿性关节炎,开始加用免疫抑制治疗(具体不详),3月前调整为醋酸泼尼松15mg 每日一次、甲氨蝶呤10mg 每周一次及来氟米特10mg 每日一次治疗,关节症状缓解,1月余前自行停药。

图1 2018年11月29日胸部CT

图2 2018年12月08日胸部CT

【相关辅助检验检查】血常规+CRP、PCT相关结果:
12月09日肿瘤标记物:CEA 7.14ng/ml。
12月10日结核杆菌感染γ-干扰素释放试验QFT-TB0.000IU/ml。G试验 196.10。GM试验 0.19。胸水B超:左侧胸腔可见液性暗区,前后径8.5cm,上下径8.3cm;右侧胸腔可见液性暗区,前后径8.1cm,上下径4.9cm。
12月11日风湿三项、免疫球蛋白、补体:免疫球蛋白G 524mg/dl、过敏原总IgE测定335IU/ml、嗜酸细胞计数正常,补体C3 162mg/dl、类风湿因子393IU/ml、C-反应蛋白34.7mg/dL、转铁蛋白113mg/dl。血管炎抗体谱、抗核抗体谱、类风湿关节炎抗体谱:抗核抗体(-)、抗SM抗体(-)、抗dsDNA抗体(-)、抗环状瓜氨酸多肽抗体155U/ml。ESR 113mm/h。T淋巴细胞亚群未见异常。
12月12日痰(咳吐):真菌培养 白念珠菌。
12月13日痰(咳吐):肺孢子菌核酸检测PCP(-)。
12月14日行支气管镜检查:痰(吸出)涂片、培养、肺孢子菌核酸检测均阴性。支气管灌洗液半乳甘露聚糖检测(GM试验):0.09。EB病毒核酸检测、肺炎衣原体核酸检测、肺炎支原体核酸检测、人巨细胞病毒核酸检测、真菌培养仪器法、细菌培养仪器法、抗酸杆菌涂片及染色、结核分枝杆菌鉴定及耐药点检测、普通真菌涂片及染色、普通细菌涂片及染色均阴性。灌洗液细胞分类计数:中性粒细胞89.5%,灌洗液中性粒细胞比例升高。

入院后先后给予莫西沙星、头孢他啶、联磺甲氧苄啶片、哌拉西林他唑巴坦、盐酸米诺环素胶囊、头孢哌酮舒巴坦等抗感染治疗。
12月17日胸部CT平扫示:双肺多发磨玻璃、实变影,考虑感染性病变,局部支气管形态不规则,建议治疗后复查;双肺肺气肿。双侧胸腔积液;纵隔内多发小淋巴结。与患者12月08日外院所查胸部CT比较,加重明显。(见图3)




图3 2018年12月17日胸部CT
12月21日胸水B超:左侧胸腔可见液性暗区,前后径10.2cm,上下径7.2cm;右侧胸腔可见液性暗区,前后径1.8cm,上下径3.0cm。
患者症状仍有反复,12月20日咳嗽咳痰加重,12月24日Tmax 37℃,12月25日喘憋加重。

2018年12月26日行经皮肺组织穿刺术,相关肺组织送病理。
2018年12月28日行胸腔穿刺术,引流出黄色浑浊液体,胸水常规:外观黄色浑浊、黎氏试验(+)、比重1.034、细胞总数8400cell/mm^3、有核细胞数2700cell/mm^3、单核15%、多核85%;胸水生化:*乳酸脱氢酶4362IU/L、腺苷脱氨酶103U/L;胸水真菌、细菌涂片及染色无异常,胸水结核杆菌鉴定阴性。
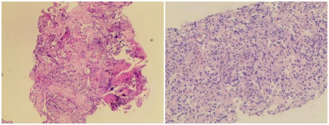
2018年12月29日经皮肺组织(右肺下叶)穿刺病理 回报:(肺组织)送检穿刺肺组织,肺泡间隔增宽,纤维组织增生,少量淋巴细胞、浆细胞、个别嗜酸性粒细胞及中性粒细胞浸润;肺泡腔内可见组织细胞聚集,局灶可见纤维素性渗出物;形态学考虑机化性肺炎,请结合临床分析。特殊染色结果:Masson三色(+),PTAH(+)。(见图4)
综合患者治疗过程及目前病理结果,考虑为机化性肺炎。

图4 病理
2018.12.29-2019.01.04 注射用甲泼尼龙琥珀酸钠40mg,静点,每日一次。
期间停用抗生素
2019.01.05- 醋酸泼尼松片40mg口服,每日一次,建议每隔1月减一片,减至10mg 日一次,根据病情5或10mg 日一次维持。
2019年02月18日胸部CT:双肺间质性改变,右肺为著。左肺上叶支气管扩张,双肺小叶中心型肺气肿,肺大泡。动脉硬化。双侧胸膜轻度增厚并双侧少许胸腔积液。




图5 2019年02月18日胸部CT
患者口服醋酸泼尼松片40mg 每日一次一月后,直接减为30mg,此后每月减1片,自2019.5.2改为15mg,每日一次
2019年05月09日胸部CT:双肺炎症,较2019-02-18片减少。双肺间质性改变,右肺为著。双肺小叶中心型肺气肿,肺大泡。动脉硬化。双侧胸膜轻度增厚,双侧胸腔积液,左侧较前增多。




图6 2019年05月09日胸部CT
1.在痰、支气管镜检查中,多种病原学检查均为阴性,结合其影像应该考虑非感染因素。
2.机化性肺炎影像学表现千差万别,有研究者将其改变归结为“五多一少”的特点:①多态性:不同的COP患者影像学表现可以不同;同一COP患者多同时具有两种以上的形态表现。②多发性:除少数单发病灶外,大多数COP累及多个叶段,甚至全肺满布。③多变性:病灶呈明显的游走性,此消彼长。④多复发性:病灶可在停药或激素减量后再次出现,激素加量后吸收。⑤多双肺受累。⑥蜂窝肺少见。
在临床中,胸腔积液在COP中是少见表现。一项回顾性研究却显示无论隐源性机化性肺炎或继发性机化性肺炎中胸腔积液的发生率相仿(见图7)。

图7 Radiographic Findings in Patients With COP and Secondary OP
3.机化性肺炎糖皮质激素的合适剂量以及疗程尚无定论,建议的其实剂量为0.75-1mg/(kg·d),时间为3-6个月。
发热伴肺部阴影,感染与非感染的剖析一直以来困扰着各级医院的呼吸科医生。从这个病例的诊治过程可以发现,呼吸科有创检查对于鉴别疾病十分关键,借助“一双慧眼”(支气管镜),可以发现并且获取更好的标本。抗生素的使用从经验推断——寻求目标——果断放弃,完成了三级蜕变。
随访也是医疗重要环节,更是需要长程管理的疾病的关键。使用激素后患者影像学及临床改善,也为完整的治疗提供经验。
参考文献:
[[1]] Drakopanagiotakis F, Paschalaki K, Abu-Hijleh M,et al. Cryptogenic and secondary organizing pneumonia: clinical presentation, radiographic findings, treatment response, and prognosis. Chest. 2011 Apr;139(4):893-900.
[[1]] 蔡柏蔷,李龙芸主编.协和呼吸病学[M].北京:中国协和医科大学出版社,2010:1504.
供稿:刘剑 李颖
审稿:王一民
